Skip links

Ecografía pancreática, procesos inflamatorios

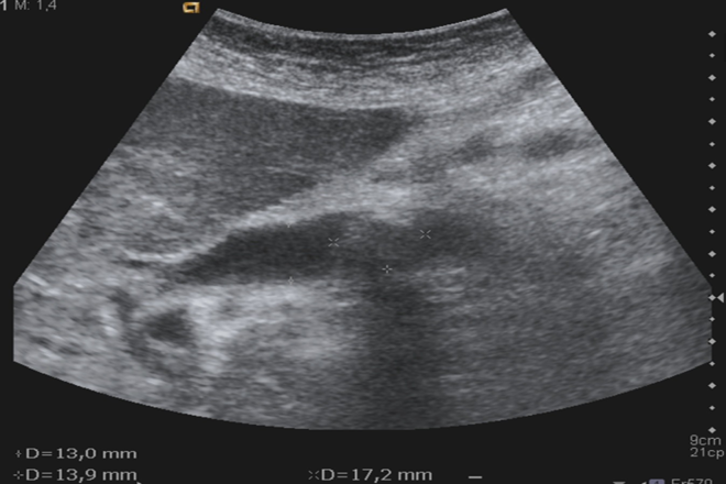
Pancreatitis aguda: Enfermedad frecuente con etiología múltiple, se debe principalmente a litiasis biliar o a alcoholismo crónico. La ecografía abdominal constituye la primera técnica de imagen en la evaluación inicial de una pancreatitis aguda, debiendo realizarse en las primeras 24 h. Tiene importancia en el diagnóstico de la pancreatitis aguda, pero adquiere relevancia en el establecimiento de su etiología, siendo más sensible que la tomografía axial computarizada o la resonancia magnética en el diagnóstico de litiasis biliar. La pancreatitis aguda se presenta, la mayoría de las veces, como un aumento difuso y generalizado del tamaño del páncreas, junto con límites y contornos más imprecisos y disminución de la ecogenicidad del órgano. En la forma edematosa el parénquima es uniforme y homogéneo, aunque hipoecogénico con respecto al parénquima normal. En las formas más graves se pueden observar áreas intraparenquimatosas de carácter quístico, indicativas de la existencia de necrosis o hemorragia. Los resultados técnicos de la exploración mejoran 48 h después del episodio agudo. La exploración ecográfica desempeña un papel importante para monitorizar la evolución: resolución, formación de seudoquistes o pancreatitis crónica. Los hallazgos ecográficos en la pancreatitis aguda pueden clasificarse por su distribución (focal o difusa) y por la severidad (leve, moderada y grave). La pancreatitis focal, que consiste en un aumento de tamaño focal del páncreas. Se localiza generalmente en la cabeza, y es más frecuente en pacientes alcohólicos y con historia previa de pancreatitis o dolor, lo que demuestra que las pancreatitis focales tienden a ocurrir en el contexto de una pancreatitis crónica. En una pancreatitis difusa el páncreas es hipoecogénico respecto al hígado normal y está aumentado de tamaño. A medida que la inflamación es más severa son más evidentes la disminución de la ecogenicidad y el aumento de tamaño debidos al mayor contenido líquido en el intersticio. La ecografía no permite distinguir, como lo hace la tomografía axial computarizada, entre pancreatitis necróticas y no necróticas. Las manifestaciones extrapancreáticas consisten en colecciones líquidas y edema a lo largo de los diferentes planos de partes blandas, y, en general, se ven en los casos severos. Los cambios en las partes blandas peripancreáticas se ven como bandas hipoecogénicas adyacentes al páncreas o rodeando el sistema venoso portal. Las colecciones líquidas extrapancreáticas ocurren dentro de las 4 semanas desde el inicio de la inflamación aguda. Se emplea el término «seudoquiste» cuando se desarrolla una colección líquida con la pared bien definida, que permanece en exploraciones seriadas durante un intervalo de al menos 4 semanas desde el inicio de la inflamación aguda. Se necesitan aproximadamente de 4 a 6 semanas para que una colección líquida se circunscriba con una pared de colágeno y tejido de granulación vascular. Los seudoquistes ocurren en un 10-20% de los pacientes con pancreatitis aguda y en un 25-40%de los pacientes con pancreatitis crónica, y es la lesión quística más frecuente del páncreas. En la fase inicial pueden existir ecos internos y contornos peor definidos, al no estar aún organizado el quiste. Posteriormente la forma es más o menos ovoidea, con contenido anecogénico y con una pared mejor definida.

Otros hallazgos extrapancreáticos incluyen: ascitis, engrosamiento del tracto gastrointestinal adyacente (estómago, duodeno y colon) y engrosamiento de la pared de la vesícula, con o sin líquido perivesicular. En cuanto a las complicaciones vasculares, la más frecuente es la trombosis de las venas peripancreáticas como resultado de la compresión y el estasis sanguíneo

Artículo escrito por la Dra. Lizbeth Alvarado Soto

Inscripciones para curso

Inscripciones para Diplomado

diplomadomedico.com

Abrir chat
¡Conoce nuestros diplomados!
Diplomados en Ultrasonografía
Hola, conoce nuestros diplomados.