Skip links

Enfermedad litiásica biliar

 

La formación de concreciones sólidas en la vesícula o la vía biliar  a consecuencia de las alteraciones en la composición de la bilis y la motilidad de la vesícula se denomina litiasis biliar. Es más frecuente en mujeres que en hombres.

ETIOPATOGENIA

Pueden ser tres tipos atendiendo a su composición de colesterol, pigmentarios negros y pigmenatios marrones.

Cálculos de Colesterol

Prevalentes en Occidente, se componen de colesterol (51-99%) y hasta el 15% son radioopacos.

*Factores determinantes para la formación de cálculos de colesterol.

*Composición alterada de la bilis.

Un exceso de colesterol o un defecto de sales biliares o fosfolípidos tienen como resultado la formación de vesículas multilaminares sobre las que se produce la nucleación de los cristales de colesterol que darán a barro y litiasis.

Las sales biliares provienen re la síntesis hepática de novo y dela circulación entero hepática,  por lo que cualquier situación que altera la circulación hepática, como la resección ileal o la colectomía, condicionará una bilis mas litogénica.

*Nucleación de cristales de colesterol

En la bilis existen componentes que facilitan la formación de cálculos (factores litogénicos), como la mucina y la imnonoglobulina G y otro a que inhiben (factores inhibidores), como ciertas alipoproteínas y glucoproteínas. La inhibición de litogénesis mediante ácido ursodesoxicólico o AINES.

*Dismotilidad vesicular.

La vesícula debe contraerse de manera eficaz, y así expulsar restos de microcristales o barro. La motilidad de la vesícula está regulada por factores hormonales, inmunes e inflamatorios. La nutrición parenteral prolongada o exposición a altos niveles de estrogenos (embarazo, anticoncepción hormonal, terapia hormonal sustitutiva) se relaciona con la presencia de colelitiasis.

*Otros.

Para formacion de litos: factores genéticos,  inactividad física,  síndrome metabólico,  obesidad, diabetes mellitus tipo 2, dislipidemia (especialmente niveles bajos de HDL y altos de TG) o edad avanzada.

Cálculos pigmentarios negros

Son el 20-39% de las colelitiasis. Se componen de un pigmento de bilirrubina polimerizado así como carbonato y fosfato cálcico por lo que su consistencia es dura. No contienen colesterol. El 60%son radio opacos.  Se asocian con hemólisis crónica y a cirrosis hepática Alrededor del 30% de pacientes cirroticos presentan colelitiasis especialmente aquellos con etiología enólica o en casi C de Child-Pugh.

Cálculos pigmentarios marrones

Compuestos de bilirrubinato de calcio,  palmitato de calcio, estereato, colesterol (menos  30%). Se forman generalmente en vía biliar en relación a estasis y sobre infección de la bilis (bacterias en mas 90%). Generalmente radioopacos y de consistencia blands. Suelen ser intrahepáticos sobre todo cuando se asocian a estenosis de vía biliar como la colangitis esclerosante primaria o enfermedad de Caroli. EN Oriente se asocia a parásitos.

Colelitiasis y coledocolitiasis asintomática

La colelitiasis es la presencia de cálculos en la vesícula biliar. Generalmente asintomática y su diagnóstico suele ser incidental.

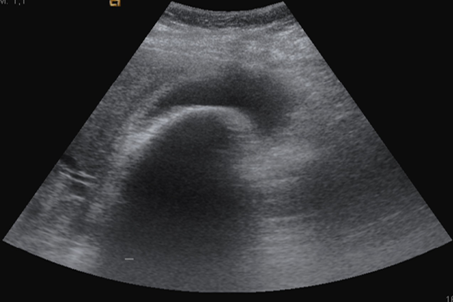
Prueba diagnóstica de elección ecografía abdominal, que muestra los cálculos como ecos fuertes con sombra posterior y que se movilizan con los cambios posturales del paciente. En ocasiones los pacientes con colelitiasis presentan síntomas atípicos de patología biliar (flatulencia, pirosis, distencion abdominal). Estos síntomas no suelen tener relación con la presencia de colelitiasis, por lo que se recomienda ampliar estudio etiológico.

La historia natural de la coledocolitiasis no es tan bien conocids como la de la colelitiasis.

El 21 y el 34% de la coledocolitiasis migraran espontáneamente al duodeno. La migración de litos entrañan un riesgo de pancreatitis (25-36%) y colangitis en caso de impactaciónen la vía biliar distal.

Cuadros clínicos

*Cólico biliar

Es el síntoma más frecuente. Ocurre cuando ls contracción de la vesícula moviliza los cálculos o el barro biliar hacia el conducto cístico, produciendo su obstrucción transitoria. Los síntomas aparecen durante la obstrucción del cístico y posteriormente ceden. 59% cursa con dolor en hipocondrio derecho o epigastrio. 24% suele ser dolor torácico.

El dolor es constante de intensidad variable, puede irradiarse hacia la escápula derecha y asociar a disforesis, náuseas y vómito. A veces se desencadena una o dos horas después de una ingesta en grasa (signo de Murphy negativo). La ecografía es la técnica de elección. Presenta una sensibilidad del 84% y una especificidad del 99%. Aquellos pacientes con síntoma específicos de la patología biliar (cólico biliar) pero en los que no se ha presentado colelitiasis en ecografía,  deben ser sometidos a otras pruebas diagnósticas más sensibles pars la detección de cálculos de pequeño tamaño o barro billar como la ecoendoscopia (sensibilidad 96%, especificidad 86%). El diagnóstico diferencial debe realizarse con la patología coronaria, péptica, esofágica y distintos cuadros. El tratamiento del cólico biliar comprende reposo intestinal y adecuada analgesia. Se recomienda el empleo de AINES o meperidina. Tratamiento definitivo colecistectomía ya que el riesgo de presentar síntomas recurrentes o complicaciones esdel 70% a los dos años de la presentación inicial.

Artículo escrito por la Dra. Shantal Sierra Doroteo

Inscripciones para curso

Inscripciones para Diplomado

diplomadomedico.com

Abrir chat
¡Conoce nuestros diplomados!
Diplomados en Ultrasonografía
Hola, conoce nuestros diplomados.