Skip links

Enfermedad poliquística del hígado

La enfermedad poliquística del hígado es una enfermedad poco frecuente  que se asocia a quistes en otros órganos. La incidencia de la enfermedad quística hepática simple se reporta entre 0.15% y 0.5% y hace parte de los quistes hepáticos congénitos, tantos solitarios como múltiples, una relación  de mujer a hombre de 4 a 1; se presenta principalmente entre la cuarta y quinta década.

Los síntomas se producen por el crecimiento del quiste y en promedio se inician cuando este alcanza un tamaño  de 5 a 10 cm, comprime los órganos vecinos, la cápsula de Glisson y las venas tributarias y genera la hipertensión portal sinusoidal responsable de la ascitis que se encuentra con frecuencia.

Los síntomas de saciedad precoz  y pesadez ocurren por crecimiento del quiste y el edema de los miembros inferiores, por presión sobre la vena cava. Por estas razones, decidimos intervenir terapéuticamente solo cuando el paciente es sintomático o presenta alteración de la función del órgano. Se puede escoger entre la punción guiada por ecografía o la tomografía computarizada (TC) y la resección del techo del quiste por vía convencional o laparoscópica, teniendo en cuenta el tamaño de las lesiones, su localización y sus características en imágenes para descartar que se trate de una lesión maligna o parasitaria que requiera otro manejo más del hígado radical.

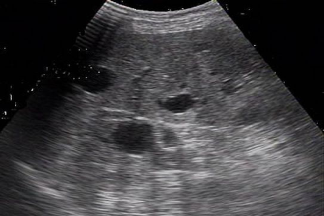
La enfermedad poliquística del hígado es la manifestación extrarrenal más frecuente de la enfermedad poliquística renal autosómica dominante y se asocia en 57%  de los casos a quistes en otros órganos como pulmón, páncreas,bazo y ovario, se requieren imágenes  diagnósticas complementarias para obtener la caracterización como la ecografía y la TAC que tienen como criterios diagnósticos los bordes finos con paredes bien redondeadas y sin imágenes en su interior.

Descripción del caso:

Se trata de una paciente de 53 años con enfermedad de inicio incidioso  y tres años de evolución, caracterizada por dolor abdominal superior acompañado de  distensión pospandrial y síntomas de gastritis que al cabo de unos meses se  acompañó de crecimiento  del perímetro abdominal con palpación de masa por parte de la misma paciente lo que motivo a consultar al médico. Al realizar una TC se observaron múltiples quistes hepáticos y quistes renales sin alteración de la función renal.

En los exámenes de laboratorio se encontró una discreta elevación de enzimas hepáticas, debido a la sintomatología de la paciente y el tamaño de los quistes hepáticos, se decidió resecar el techo de los tres quistes, a pesar de la localización posterior de uno de ellos. Después de resecar el techo de los quistes debido a la cantidad de líquido drenado  y teniendo en cuenta que no se fijo epiplón en su interior, se dejaron sendos drenes para evaluar características del tejido que pudiera drenar y evitar su acumulación en caso de ser bilioso

La evolución posquirúrgica fue satisfactoria, la paciente tolero  la vía oral y presento leve dolor  que se manejo con analgesia oral y fue dada de alta de la institución.

Discusión

La punción guiada por TC o  ecografía  es otra opción viable de manejo, que se puede abordar con el abordaje laparoscópico en aquellos sitios  donde el acceso sacrificaría  tejido hepático por la localización  y el tamaño del quiste, esta técnica esta limitada por el tamaño de los quistes debido al riesgo de recidiva que suele ser del 100% si no se aplica un agente esclerosante.

Es de gran utilidad la punción de quistes dirigida por imágenes diagnosticas  en sitios de difícil manejo quirúrgico independientemente del abordaje, como sucede con los quistes de localización central.

COMENTARIO

Este artículo muestra una de las tantas patologías que pueden ser diagnosticadas por medio de ultrasonido, nos menciona características, incidencia, síntomas y lo más importante que sería el tratamiento que se le da a este tipo de lesiones el cual podría ser la TC o ecografía  que se puede combinar con el abordaje laparoscópico, debido a que esta técnica es de gran utilidad  en sitios de difícil manejo quirúrgico, así mismo en este artículo nos menciona el patrón ecográfico de la enfermedad poliquística del hígado lo cual es de gran importancia para el estudiante de ecografía, aun a pesar de que es una enfermedad que no es muy predominante en nuestro medio.

Artículo escrito por  la Dra. Ismeni Cruz Valdes

Inscripciones para curso

Inscripciones para Diplomado

diplomadomedico.com

 

Abrir chat
¡Conoce nuestros diplomados!
Diplomados en Ultrasonografía
Hola, conoce nuestros diplomados.