Skip links

Quiste esplénico verdadero

Los   quistes  esplénicos son   una  enfermedad  rara; a nivel mundial se han informado menos de  1000  casos. La clasificación más  utilizada en  la práctica clínica es la de Martín, que los clasifica como primarios y secundarios. Los  primarios a su  vez  en parasitarios y  no parasitarios y  estos últimos, en congénitos y neoplásicos.

La  patogenia de los quistes esplénicos verdaderos es desconocida, pero se considera que hay  una alteración durante el desarrollo embrionario del bazo. La  mayoría de ellos  son asintomáticos y se diagnostican de manera incidental.

Cuando son sintomáticos, se  presentan con manifestaciones secundarias al efecto de masa con dolor, nausea, vomito, síntomas respiratorios y urinarios.

En ocasiones, llegan a generar complicaciones como ruptura, hemorragia o infección.

Se    recomienda   tratamiento   quirúrgico   para los  pacientes sintomáticos o con quistes mayores de 5  cm.

Actualmente hay una tendencia hacia  la esplenectomía parcial, con el fin de conservar la  función inmunológica esplénica y prevenir complicaciones  infecciosas  pos-esplenectomía.

El tratamiento de elección es  la  esplenectomía parcial laparoscópica  en  tanto  que  la total se reserva para quistes muy grandes, casi  completamente cubiertos por parénquima esplénico, situados en el hilio esplénico o por quistes múltiples.

El bazo sufre cambios quísticos con menos frecuencia que cualquier otra víscera abdominal.

Los quistes esplénicos son  entidades raras.

Los  quites esplénicos se clasifican con  base en la presencia o ausencia de un  recubrimiento epitelial en primarios o verdaderos y secundarios, falsos o pseudoquistes. Los  quistes verdaderos tienen un recubrimiento epitelial o  mesotelial y los  pseudoquistes no  tienen recubrimiento celular, únicamente está  presentan una capsula fibrosa.

Los  quistes no  parasitarios incluyen al quiste epidermoide, quiste dermoide, linfangioma quístico y hemangioma quístico. El  quiste esplénico epidermoide representa 90% de los quistes primarios  no  parasitarios, mientras que el quiste dermoide representa la mayoría del resto  de los casos.

En muchos casos, los quistes  esplénicos han  resultado de  trauma abdominal sufridos más  de 10 años antes  de la cirugía. Otras etiologías propuestas son infecciones, hemorragias e  infartos.

La distinción preoperatoria entre los quistes esplénicos primarios y secundarios es difícil, el diagnóstico exacto solo es anatomopatologico.

La patogenia de los quistes esplénicos congénitos es controversial. Se sugiere que en el periodo embrionario, porciones de la capsula  esplénica mesotelial se invaginan hacia  el interior del  parénquima esplénico; con  el paso del tiempo sufrirán distinto grado de metaplasia escamosa. De  esta manera los quistes epidermoides son malformaciones congénitas, de tipo quístico, originadas a partir del  mesotelio.

Con relación a los  quistes esplénicos secundarios  a  traumatismos, se propone que el  trauma da lugar a una hemorragia intraparenquimatosa o  un  hematoma subcapsular esplénico.

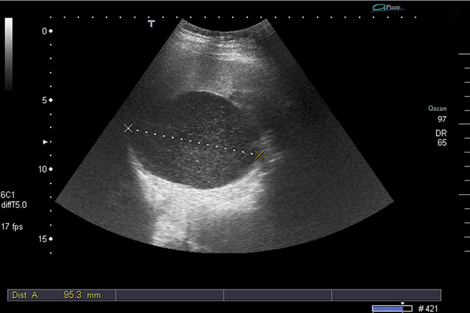
El diagnostico se hace con base en la historia del paciente, el examen físico y los hallazgos en los estudios  de imagen. Los  estudios diagnósticos de elección son el  USG  y la TC abdominal, los  cuales proporcionan información sobre la morfología, composición, localización y relación con órganos vecinos.

Los quistes esplénicos no  producen alteraciones en los estudios de laboratorio.

En cuanto al seguimiento, se propone realizar un US cada tres  meses después de la cirugía para excluir reaparición del  quiste  y medición de Ca 19-9, tres meses después de la cirugía para excluir la reaparici6n del quiste epidermoide congénito.

Artículo escrito por el Dr. Rafael Enrique  Alvear Saltaren

Inscripciones para curso

Inscripciones para Diplomado

diplomadomedico.com

Abrir chat
¡Conoce nuestros diplomados!
Diplomados en Ultrasonografía
Hola, conoce nuestros diplomados.