Skip links

Sonografia de bazo y timo como elemento evaluador de la respuesta inmune con infecciones recurrentes.

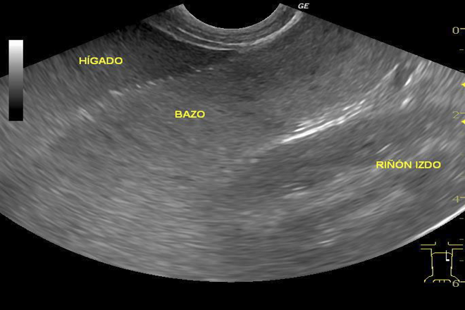
Sonografía de bazo y timo en evaluación de la respuesta inmune con infecciones recurrentes

En pacientes con infecciones recurrentes, las mediciones del bazo y del timo por ultrasonido son clave para evaluar la respuesta inmune. Dichas mediciones se vuelven especialmente significativas entre los 12 y 23 meses de vida. El tamaño del bazo, expresado mediante el índice esplénico, disminuye en comparación con la depleción tímica, que se mide a través del índice tímico en pacientes con rastreo mediastinal y abdominal.

La medición más estandarizada del bazo es la longitud en vista coronal, que incluye el hilio. Por otro lado, el índice tímico se calcula en la sección longitudinal de ambos lóbulos del timo entre la 2da y la 4ta costilla a nivel del esternón.

El ultrasonido se revela como una herramienta indirecta pero significativa para detectar infecciones recurrentes en etapas tempranas de la infancia.

Tumores quísticos del páncreas

Entre los tumores pancreáticos, el adenocarcinoma de los conductos es el más común. Destaca el tumor intraductal mucinoso, siendo frecuente en la cabeza o en el proceso uncinado. Aunque la utilidad del ultrasonido es limitada, la dilatación del conducto pancreático suele ser un indicio en este tipo de tumor, siendo más útil la imagenología endoscópica.

Se distinguen dos variedades de tumores quísticos: serosos y mucinosos. En los tumores serosos, la TAC es indicada, mientras que en los mucinosos, el uso de TAC y USG endoscópico resulta útil para punción y aspiración.

Los tumores sólidos pseudopapilares, poco frecuentes (0,1-2%), presentan componentes sólidos y quísticos con calcificación periférica y hemorragia intralesional, pudiendo ser observados mediante USG y TAC.

  1. Bazo:

Dimensiones aproximadas:

  • Longitud: 12cm
  • Eje antero-posterior: 7cm
  • Espesor: 3-4cm
  • Peso promedio: 150g (rango: 80-300g)

Se pueden observar diferentes condiciones como esplenomegalia, quistes, metástasis y eventos como infarto esplénico, sarcoidosis, hemangioma y tuberculosis.

  1. Páncreas:

Al realizar un ultrasonido del páncreas, se deben considerar distintas posiciones para una exploración adecuada. Las dimensiones de la cabeza y el cuerpo varían con la edad y presentan características específicas por edad, obesidad, pancreatitis, entre otras patologías asociadas.

Artículo escrito por el Dr. Mario Enrique Leonardo Duarte Tortoriello

Inscripciones para curso

Inscripciones para Diplomado

medicacapacitacion.com

#Sonografía #TumoresPancreáticos #InfeccionesRecurrentes #Ultrasonido #RespuestaInmune

Abrir chat
¡Conoce nuestros diplomados!
Diplomados en Ultrasonografía
Hola, conoce nuestros diplomados.