Skip links

Traumatismo esplénico. Evaluación con tomografía computada

El bazo es el órgano más frecuentemente lesionado tras un traumatismo abdominal cerrado con una incidencia que se reporta entre 32 y 45%. El abordaje diagnóstico y terapéutico de estos pacientes ha evolucionado notablemente en las últimas décadas desde la exploración física hacia la exploración tomográfica para el diagnóstico y desde la esplenectomía a todos los pacientes (independientemente del grado de lesión) hasta el manejo no operatorio exitoso en más de 80% de los casos.

La tomografía computada es el método de elección actual para la evaluación de los pacientes con traumatismo abdominal hemodinámicamente estables ya que es altamente efectiva en la detección de los aspectos más significativos a considerar en estos pacientes (grado de lesión de víscera sólida intra y retroperitoneal, perforación de víscera hueca, cuantificación subjetiva del hemoperitoneo y hemorragia activa).

La morfología del bazo puede modificarse por múltiples variantes congénitas. Una de ellas, la hendidura esplénica, es de particular importancia ya que puede confundirse con una laceración importante. Las hendiduras esplénicas se originan entre los espacios que separan a los lóbulos esplénicos fetales durante el desarrollo y pueden tener una profundidad de entre 2 y 3 cm. Su tamaño se mide generalmente en el eje longitudinal máximo el cual es de 6 cm a los 3 meses de edad y de 9 cm a los 4 años de edad. En la edad adulta pesa entre 75 a 300 gramos y mide de 12 a 15 cm en su eje longitudinal, entre 4 y 8 cm en el eje  anteroposterior y de 3 a 4 cm de grosor a nivel del hilio.

El bazo es un órgano importante de los sistemas reticuloendotelial e inmunológico cuyas funciones no deben ser subestimadas. Se encarga del secuestro y remoción de los eritrocitos normales envejecidos y también de los que son anormales por condiciones patológicas.

Depura también a los microorganismos y antígenos indeseables de la circulación. El traumatismo esplénico tiene múltiples causas que pueden agruparse en tres categorías principales: traumatismo cerrado, traumatismo penetrante y traumatismo y atrogénico.

La evaluación y manejo del paciente con traumatismo esplénico comienza, necesariamente, con la revisión primaria del soporte vital avanzado en traumatismo (ATLS). Cuando las lesiones esplénicas son sintomáticas hay dolor abdominal generalizado o del cuadrante superior izquierdo que se irradia al hombro por irritación del nervio frénico (signo de Kehr). Los signos de irritación peritoneal o choque hipovolémico incrementan la sospecha de hemoperitoneo secundario a lesión esplénica.

La TC con administración intravenosa de medio de contraste es actualmente el método de elección en los pacientes con traumatismo abdominal que están hemodinámicamente estables debido a su velocidad, exactitud diagnóstica y naturaleza no invasiva. A pesar de la gran importancia que reviste el protocolo de estudio por TC en la evaluación de los pacientes con traumatismo abdominal ésta es una situación en la que no existe un consenso universal y en la que las diferencias que se presentan (influenciadas por la capacidad del tomógrafo, por el ambiente institucional e incluso por preferencias del radiólogo) si bien, en algunas ocasiones pueden no ser significativas, en otras pueden hacer que la información obtenible del estudio esté incompleta o, peor aún, que se pasen por alto lesiones de gravedad considerable.

Los hallazgos por TC en el traumatismo esplénico incluyen contusión, laceración, hematoma subcapsular o intraparenquimatoso, infarto esplénico, lesiones vasculares esplénicas intraparenquimatosas y la extravasación activa del medio de contraste.

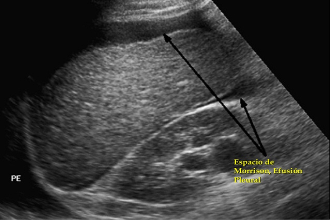
Actualmente el diagnóstico de las lesiones abdominales incluye al ultrasonido como un método extraordinariamente eficiente para detectar sangre en la cavidad abdominal; aunque carece de especificidad para predecir el origen del sangrado; además, es ineficaz para determinar el grado de lesión de los órganos sólidos. La evaluación por TC con administración intravenosa de medio de contraste se ha convertido en el estándar de oro para el diagnóstico de lesiones de órganos sólidos ya que permite una valoración considerablemente exacta del grado de lesión al tiempo que determina la presencia de sangrado activo y, de manera semicuantitativa, de la cantidad de hemoperitoneo.

COMENTARIO:

El artículo  habla sobre los aspectos anatómicos y fisiológicos que influyen en el aspecto del traumatismo esplénico por tomografía y aborda el tema de la graduación de la severidad del daño y su importancia en la decisión clínica del manejo de estos pacientes.

Es de suma importancia para el médico reconocer los tipos de lesiones traumáticas esplénicas y graduarlas de acuerdo con la escala de severidad de daño orgánico ya que el traumatismo esplénico es una entidad clínica relativamente frecuente cuyo diagnóstico y manejo actual está claramente influenciado por el uso de la tomografía pero para que este estudio pueda aportar información relevante el radiólogo debe estar atento al protocolo de estudio.

Por lo tanto es de gran importancia el trabajo conjunto entre los médicos especialistas que estén a cargo de pacientes con traumatismo esplénico y no dejando de lado que si en ese momento se sospecha de un traumatismo esplénico y no se cuenta con el servicio de tomografía hay que realizar en rastreo por ultrasonido al paciente para detectar sangre en la cavidad abdominal.

Artículo escrito por la Dra. Norma Rodriguez Luna

Inscripciones para curso

Inscripciones para Diplomado

diplomadomedico.com

 

 

 

Abrir chat
¡Conoce nuestros diplomados!
Diplomados en Ultrasonografía
Hola, conoce nuestros diplomados.