Skip links

Abordaje diagnóstico por imagen en patología benigna de la vesícula y vías biliares.

El presente artículo trata del abordaje de la vesícula y vías biliares: hace referencia que el ultrasonido (US) es el método de imagen inicial recomendado para la detección de obstrucción mecánica del árbol biliar y para la identificación de litiasis biliar, en menor porcentaje lo es para la detección de lesiones tumorales obstructivas, incluyendo el cáncer pancreático y al colangiocarcinoma.

El diagnóstico por US de la litiasis biliar se basa en tres criterios: 1) los cálculos aparecen en el US como imágenes ecogénicas, los cálculos muy pequeños pueden no dejar sombra acústica, 2) asociados a sombra acústica y 3) la movilidad de los cálculos libres flotantes. Debemos de estar conscientes que cuando no se puede precisar por US y Tomografía Computada (TC), la localización exacta y la causa de la obstrucción biliar estará indicada la colangiografía transhepática o bien a través de la colangiopancreatografía endoscópica.

En la imagenología la exploración por US el cálculo se visualiza como una estructura muy ecogénica; rodeada de líquido con una sombra acústica posterior. En la colecistitis aguda alitiásica el diagnóstico ecográfico se dificulta, ya que solo en un 60 % de los casos se puede observar engrosamiento de la pared mayor a 3 mm . Otros datos importantes son presencia de lodo biliar con ecos de baja longitud y tiene la particularidad de no producir sombra acústica posterior.

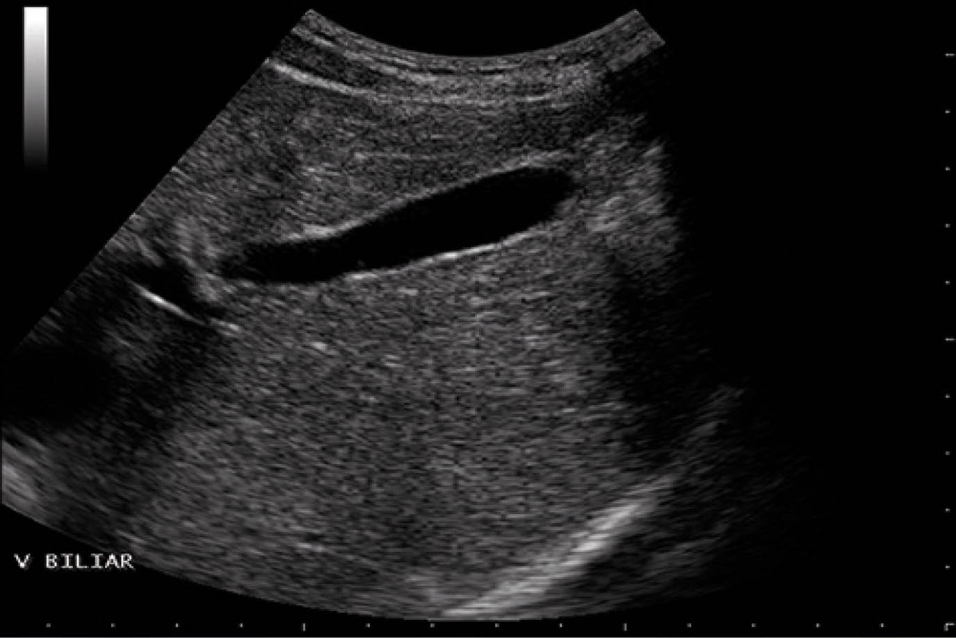
En la dilatación de la vía biliar podemos observar que el colédoco puede tener una medida mayor de 6 mm por lo que podemos apreciar estructuras tubulares de baja ecogenicidad paralelas a las ramificaciones de la vena porta.

COMENTARIO.

Con este artículo aprendemos hasta donde nos puede ser útil el abordaje de la vesícula biliar a través del US, dado que este medio de imagen es el más recomendado para el diagnóstico de obstrucción mecánica del árbol biliar y para la identificación de litiasis biliar, así como es el estudio de imagen más accesible para la población, además de no ser un método invasivo.

Inscripciones para curso

Inscripciones para Diplomado

diplomadomedico.com

Abrir chat
¡Conoce nuestros diplomados!
Diplomados en Ultrasonografía
Hola, conoce nuestros diplomados.