Skip links

Abordaje diagnóstico por Imagen en patología benigna de la vesícula y vías biliares

Abordaje diagnóstico por Imagen en patología benigna de la vesícula y vías biliares

Los trastornos de la vía biliar afectan a una proporción importante de la población mundial. Más del 95% de las enfermedades biliares son atribuibles a la colelitiasis. La prevalencia varía de acuerdo con la edad, sexo y grupo étnico. El 2% de estas personas desarrolla síntomas cada año, cerca del 20 al 30% de los pacientes desarrolla síntomas en algún momento de su vida.

La litiasis biliar se desarrolla cuando el contenido de sales biliares y lecitina en la bilis es insuficiente para mantener el colesterol en disolución. Los cálculos biliares afectan al 10-20% de la población adulta en los países desarrollados. Sin embargo, casi todos estos cálculos son silentes y la mayoría de personas no tienen sintomatología asociada ni otras complicaciones durante décadas.

Tanto el cólico biliar como la colecistitis son indicativos de cálculos que obstruyen el conducto cístico. El cólico biliar sugiere dolor de breve duración (menos de 6 horas) con recuento de leucocitos normal y sin fiebre. El dolor de la colecistitis persiste más tiempo y se puede acompañar de leucocitosis y fiebre.

Objetivo

Señalar el abordaje diagnóstico por imagen actual en patología benigna de la vesícula y vías biliares.

¿Cuál es el método de imagen con el que debemos evaluar a los pacientes con dolor en el hipocondrio derecho?

El ultrasonido es el primer estudio en la evaluación de la patología biliar aguda (sensibilidad 83%, especificidad 95%). De los 123 pacientes incluidos en el grupo de estudio, en 99 de ellos no se encontró patología biliar ni causa identificable que explicase sus síntomas.

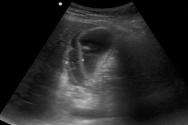
El ultrasonido es el principal procedimiento de imagen para demostrar la existencia de cálculos. Esta técnica no invasiva es eficaz y es independiente de la función hepática. Además de demostrar la vesícula biliar, el ultrasonido proporciona información adicional importante al poner de manifiesto el árbol biliar y el parénquima hepático.

El diagnóstico por Ultrasonido de la litiasis biliar se basa en 3 criterios: 1) Los cálculos aparecen en el ultrasonido como imágenes ecogénicas. Los cálculos muy pequeños pueden no dejar sombra acústica. Para detectarlos, hay que usar el transductor de la máxima frecuencia posible que permita visualizar la vesícula biliar. Además, la ganancia debe ser la mínima posible para no enmascarar una sutil sombra acústica, 2) asociados a sombra acústica y 3) la movilidad de los cálculos libres flotantes se puede demostrar moviendo al paciente permitiendo con ello una mayor caracterización ultrasonográfica. La movilidad se comprueba cambiando al paciente de la posición de supino a la de decúbito lateral izquierdo.

Cuanto mayor sea el cálculo, menos probable será que penetre en los conductos cístico o colédoco para provocar obstrucción, de forma que los cálculos más peligrosos son los muy pequeños o la «grava» o «arenilla», lodo biliar, bilis espesa.

La colecistitis aguda litiásica es una inflamación aguda de la vesícula biliar desencadenada en el 90% de los casos por la obstrucción de la vesícula o del conducto cístico por un cálculo. Los cálculos son el principal factor etiológico y su detección es un requisito.

La colecistitis aguda alitiásica se produce en ausencia de cálculos biliares, generalmente en pacientes con enfermedades graves, como en los siguientes casos: postoperatorio de una intervención quirúrgica importante no biliar, traumatismos graves, quemaduras graves, insuficiencia multisistémica, sepsis, nutrición parenteral, puerperio.

La coledocolitiasis es la presencia de cálculos en el árbol biliar que sucede en alrededor del 10% de los pacientes con colelitiasis. El ultrasonido tiene una exactitud del 60 al 70% para detectar cálculos en el colédoco.

La colangitis es el término aplicado a la infección bacteriana de los conductos biliares. Puede ser consecuencia de cualquier lesión que produzca obstrucción del flujo biliar.

Artículo escrito por la Dra. Alejandra Evangelina Hernández Oliver

Inscripciones para curso

Inscripciones para Diplomado

www.medicacapacitacion.com

#patología #vesícula #víasbiliares #colelitiasis #ultrasonido

Abrir chat
¡Conoce nuestros diplomados!
Diplomados en Ultrasonografía
Hola, conoce nuestros diplomados.