Skip links

Cáncer de Vesícula Biliar Contra Piocolecisto

La litiasis Vesicular es la segunda causa de abdomen agudo solo después de la apendicitis, se acompaña hasta en un 15% de complicaciones con la agudización del cuadro, piocolecisto, hidrocolecisto, coledocolitiaisis, cáncer vesicular, pancreatitis, entre otras.

EL piocolecisto es una grave complicación derivada de la litiasis vesicular, raro en estratos socioeconómicos altos, pero frecuentemente en la mayoría de la población mexicana, su mortalidad es de hasta un 25%, los gérmenes asociados son: clostridium spp, E.coli, Klebsiella spp, y estreptococos anaerobios, siendo la colecistectomía de urgencias el tratamiento de elección.

 

Dentro del diagnóstico de piocolecisto es difícil hay que integrarlo de acuerdo con los antecedentes del paciente; a menudo se relaciona con historia de inmunocompromiso estrato socioeconómico bajo, cuadros recurrentes de cólico biliar e incluso colecistitis aguda.  En los hallazgos clínico hay que buscar datos de respuesta inflamatoria sistémica, así como datos locales de irritación peritoneal además de tener una alta sospecha al encontrar un cuadro de colecistitis aguda, moderada o severa grado II o grado III.

Colecistitis Aguda grado II. Leucocitos (mayor a 18000/mmm3),  plastrón en hipocondrio derecho, duración de sintomatología por más de 72 hrs, inflamación local importante.

Colecistitis Aguda grado III: disfunción cardíaca (hipotensión),  déficit neurológico, disfunción respiratoria (PaO2/Fio2 menor a 300) disfunción renal (oliguria o creatinina mayor a 2mg/dl), disfunción hepática (INR mayor a 1.5), disfunción plaquetaria (menor 100000/mm3)

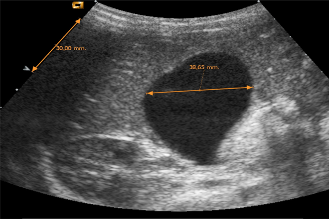
Acompañado de USG:

Engrosamiento de pared, edema importante perivesicular, colecciones perivesiculares e imágenes heterogéneas intravesiculares.

LA complicación de la colecistitis aguda, en especial piocolecisto, son un reto diagnostico aun con la gran calidad de los estudios de imagen disponibles,

Comentario.

Como podemos ver dentro de este artículo es de gran importancia el saber descartar entre las complicaciones que puede tener una colecistitis, la cual no solo es apoyada en gran parte por el ultrasonido sino también por el cuadro clínico característico que acompaña a estos padecimientos, además de la integración del diagnóstico en conjunto con los estudios de laboratorio,

Con la finalidad de dar el tratamiento de elección adecuado y en el tiempo exacto para evitar así las complicaciones que pudiera tener nuestros pacientes.

Por lo cual en este caso es de gran importancia estar bien adiestrados para la toma de un buen ultrasonido.

La afectación de vías biliares es de gran importancia a nivel mundial, más del 95% de las enfermedades biliares son atribuibles a la colelitiasis.

La litiasis biliar se desarrolla cuando el contenido de las sales biliares y lecitina en la bilis es insuficiente para mantener el colesterol en disolución. Los cálculos biliares afectan al 10-20% de la población adulta de los países desarrollados. Pero casi el 805 de los cálculos son silentes y la mayoría de las personas no tiene sintomatología.

El US el primer estudio en la evaluación de la patología biliar aguda ya que cuenta con el 83% de sensibilidad y el 95% de especificidad. El diagnóstico de la litiasis biliar se basa en 3 criterios diagnostico los cuales son: 1) los cálculos aparecen en el US como imágenes ecogenicas, los cálculos pequeños pueden no dejar sombra acústica, para detectarlos el transductor debe de dar la máxima frecuencia posible. Además la ganancia debe de ser la mínima posible para no enmascarar una sutil sombra acústica. 2) asociados a sombras acústica 3) la movilidad de los cálculos libres pueden demostrarse al movilizar al paciente permitiendo con ello una mayor caracterización ultrasonografica. La movilidad se comprueba cambiando al paciente de la posición supino a la de decúbito lateral izquierdo.

La colecistitis aguda litiasica  es una inflamación aguda de la vesícula biliar desencadenada en el 90% de los casos por la obstrucción de la vesícula o del conducto cístico por un cálculo. NO hay ningún criterio ultrasonografico directo de colecistitis, pero hay 3 signos indirectos importantes que correlacionan la clínica y los datos de laboratorio permiten establecer el diagnostico. Los cálculos son el principal factor etiológico y su detección es un requisito.

La colecistitis aguda alitiasica se produce en ausencia de los cálculos biliares, generalmente en pacientes con enfermedades graves.

La coledocolitiasis es el la presencia de cálculos en el árbol biliar que sucede en alrededor del 10 % de los pacientes con colelitiasis. El US tiene una exactitud del 60 al 70% para detectar cálculos en el colédoco.

La colangitis es el termino aplicado a la infección bacteriana de los conductos biliares, el ultrasonido es el proceso de elección en la diferenciación entre la obstrucción biliar y la enfermedad hepatocelular, causante de síndrome ictérico.

Resumen:

A través del paso del tiempo se ve la importancia que va adquiriendo y que aún no ha perdido el ultrasonido para el diagnóstico rápido, de patología de vesícula y vías biliares, podemos observar que atraves de las imágenes ultrasonograficas.

Como la literatura marca el diagnóstico rápido y de elección es el ultrasonido, la medición más eficaz para diagnosticar litos que son la causa principal de colecistitis y colédocolitiasis,  teniendo  sensibilidad 86% y especificidad en el 90% .

Sin embargo nunca se debe de dejar de lado,  el cuadro clínico, la sintomatología que pudiera tener nuestro paciente y los estudios de gabinete son solo para confirmar nuestra impresión diagnostica.

Artículo escrito por el Dr. Julio Cesar Camacho Luis

Inscripciones para curso

Inscripciones para Diplomado

diplomadomedico.com

Abrir chat
¡Conoce nuestros diplomados!
Diplomados en Ultrasonografía
Hola, conoce nuestros diplomados.