
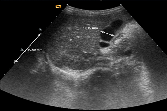
Ultrasonido renal
El ultrasonido renal es una técnica de evaluación por imagen que sirve para valorar la imagen del riñón y sus patologías. En ciertas ocasiones no es posible una buena visualización del riñón por lo que ala urografía excretora es un medio de diagnostico de apoyo.








