Skip links

Embarazo ectópico en cicatriz de cesárea previa

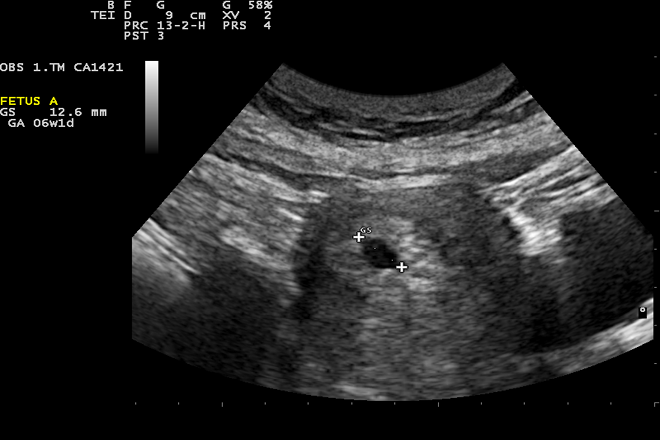
En este trabajo se reporta el caso de una paciente de 35 años con embarazo ectópico con implantación en la cicatriz de una cesárea previa. La paciente presentaba antecedentes de 4 gestas previas, dos de los cuales fueron cesáreas. Ingresa al servicio de Urgencias por sangrado transvaginal abundante de 15 días de evolución. Por fecha de última menstruación se determinó gesta de 11.3 semanas La paciente a su ingreso se encontraba hemodinámicamente inestable, sin signos de irritación peritoneal, presentaba cuello uterino violáceo, edematizado, hipervascularizado, fondos de saco libres y al tacto vaginal sin alteraciones. Al ultrasonido abdominal se constató la existencia de un embarazo de 11.5 semanas de gestación, con implantación corporal baja, embrión único con frecuencia cardíaca fetal de 157 latidos por minuto. Los ultrasonidos transvaginal y translabial reportaron que la placenta estaba en la pared anterior, previa total con pérdida de interface entre el miometrio y la placenta, el Doppler sugirió acretismo placentario.

De acuerdo con el estado clínico y los estudios realizados se diagnosticó embarazo ectópico en la cicatriz de la cesárea previa y anemia. Ante el diagnóstico, pronóstico y paridad satisfecha se decidió realizarle histerectomía en bloque. Durante el proceso operatorio se encontró: vejiga alta, útero de 14 x 10 x 8 cm, embarazo en la cicatriz de la histerotomía previa, con datos de acretismo placentario y feto de aproximadamente 12 semanas de gestación, sin vitalidad. La hemorragia total fue de 800 cc. El estudio patológico de la pieza quirúrgica reportó: endometrio hipersecretor, con reacción de Arias Stella, acretismo placentario focal (placenta increta) localizado en borde de la cicatriz.

El embarazo ectópico se define como la implantación del blastocisto fuera de la cavidad uterina. Su frecuencia es cercana a 2% de todos los embarazos y es una de las principales causas de mortalidad materna durante el primer trimestre del embarazo. El embarazo ectópico en la cicatriz de la cesárea previa se refiere a la implantación del blastocisto en el miometrio, justo en el sitio donde se realizó la histerotomía en la cesárea previa. El cuadro puede presentar severas complicaciones incluso hasta la muerte materna por lo que es imprescindible su diagnóstico y tratamiento precoz.

Los reportes en la bibliografía médica son escasos. La incidencia aproximada es de 0.15% en mujeres con cesárea previa (12/7980) y de 6.1% en pacientes con cesárea previa y antecedente de embarazo ectópico (12/198). La prevalencia es de 1 en 1,800 a 2,216 embarazos. Se estima que la tendencia está en aumento en relación al aumento de la terminación de los embarazos por vía abdominal (40-50%).

Este tipo de embarazo se diagnostica entre las semanas 5.0 y 12.4 de la gestación (ẋ 7.5 ± 2.5 semanas) con un periodo de seis meses a doce años entre la última cesárea y el embarazo ectópico previo.

No se conoce la causa, pero se relacionaría con un defecto en la cicatriz o una dehiscencia microscópica entre la cicatriz de la cesárea previa y el canal endometrial, secundaria a una pobre vascularidad del segmento inferior del útero que ocasiona fibrosis y adelgazamiento del miometrio.

Los factores predisponentes encontrados son las cirugías ginecológicas previas como: metroplastias, legrados, miomectomías, cesáreas (pretérmino, presentación pélvica, falta de progreso del primer estadio del trabajo de parto, corioamnionitis, periodo intergenésico corto y cesárea iterativa), cierre de la histerotomía con suturas no indicadas, o mala técnica quirúrgica. La presentación puede ser asintomática, de inicio súbito, con dolor abdominal de leve a moderada intensidad acompañado de sangrado transvaginal o como un hallazgo ultrasonográfico durante el control del embarazo en el primer trimestre.

Se menciona en la publicación un trabajo en el que se propone una lista de criterios ultrasonográficos para establecer el diagnóstico: a) aparición de tejido trofoblástico entre la vejiga y la pared anterior del útero; b) saco gestacional, sin partes fetales visibles; c) en un corte sagital del útero siguiendo el saco gestacional, con pérdida de la continuidad en la pared anterior del útero. En los casos de embarazo temprano, el ultrasonido Doppler, Doppler color o en tercera dimensión pueden ser de gran ayuda para observar el patrón de flujo (pico de velocidad mayor de 20 cm por segundo), índice de resistencia y de pulsatilidad (IP <1) de la vasculatura peritrofoblástica y con esto excluir o confirmar el diagnóstico. Se reporta que su sensibilidad es de 84.6% con IC95% (0.763-0.905).

Algunos estudios han reportado lesiones vesicales durante la dilatación y el curetaje o la laparotomía exploradora. Esto se debe a la cercanía del a implantación con proliferación quedando muy cercano a la pared vesical. La mayor parte de las complicaciones se deben a falta de diagnóstico temprano; cuando la placenta se implanta en la cicatriz de la cesárea previa el riesgo de acretismo es de 30-40%, que es causa de hemorragias masivas durante la resolución que hace necesario un tratamiento adicional, como: embolización uterina, ligadura de arterias uterinas e, incluso, histerectomía. Las complicaciones pueden ser tan serias como la coagulación intravascular diseminada o, incluso, la muerte.

En la mayoría de los casos (95%) es posible preservar el útero. Existen variadas opciones terapéuticas para la terminación del embarazo y en algunos casos se evalúa la conducta expectante como posibilidad para continuar el mismo no sin riesgo de rotura uterina y riesgo de vida para la madre. La decisión sigue siendo un desafío medico que debe velar por la salud de la madre y por sus intereses.

COMENTARIO

Considero que se trata de un artículo interesante donde se reporta el caso de una patología poco frecuente que debe considerarse en toda mujer con cuadro abdominal agudo y/o descompensación hemodinámica y se debe indagar antecedentes de embarazos ectópicos previos así como cirugías ginecológicas previas. El ultrasonido abdominal y el transvaginal demuestran en este caso su importante rol diagnóstico para una rápida actuación médica.

Artículo escrito por la Dra. María Lucia Acevedo Saladino

Inscripciones para curso

Inscripciones para Diplomado

diplomadomedico.com

Abrir chat
¡Conoce nuestros diplomados!
Diplomados en Ultrasonografía
Hola, conoce nuestros diplomados.