Skip links

Embarazo ectópico cornual en el tercer trimestre

El embarazo ectópico se define como la implantación del blastocisto fuera de la cavidad endometrial. Su localización más frecuente se da en el conducto tubárico, con 96-99 % de los casos, seguida de los que se ubican en la ampolla (más de 60 %) y la zona ístmica (25 %). Los que se encuentran en la zona intersticial o cornual (solo en 2-4 %) son menos usuales.

En el embarazo intersticial o cornual el blastocisto se implanta dentro del segmento de la trompa que penetra en la pared de útero o entre el ostium tubario y la porción proximal del segmento ístmico. La porción intersticial de la trompa uterina mide casi un centímetro de longitud y la estructura de esta región permite alojar adecuadamente al embarazo, lo que ocasiona asimetría variable debido a una mayor distensibilidad del miometrio que recubre esta área. La rotura puede ser más tardía, entre la octava y décima semanas, pero la hemorragia puede ser mortal por la cercanía de las arterias uterinas en su rama ascendente.

Caso clínico

Femenino de 34 años de edad que presenta dolor abdominal intenso que se originaba en el epigastrio, se extendía hacia la espalda e intensifica con los movimientos fetales.

La gestante refirió que no tenía otros síntomas y en su historia obstétrica se detallaban 3 embarazos

Examen físico

− Abdomen aumentado de volumen por útero grávido, doloroso a la palpación, con cierta defensa abdominal hacia el flanco izquierdo

− Altura uterina de 29 cm

− Presentación pelviana

− Situación longitudinal

− Presencia de movimientos fetales

− Frecuencia cardíaca fetal de 144 latidos por minutos

− Dinámica uterina 0/10 minutos

− Tono uterino normal

Examen físico con espéculo

Se observó un cuello posterior, de multípara, con 1,5 cm de longitud y orificio cervical entreabierto; además, leucorrea blanca, grumosa y adherente, que dejó una superficie sanguinolenta al ser removida.

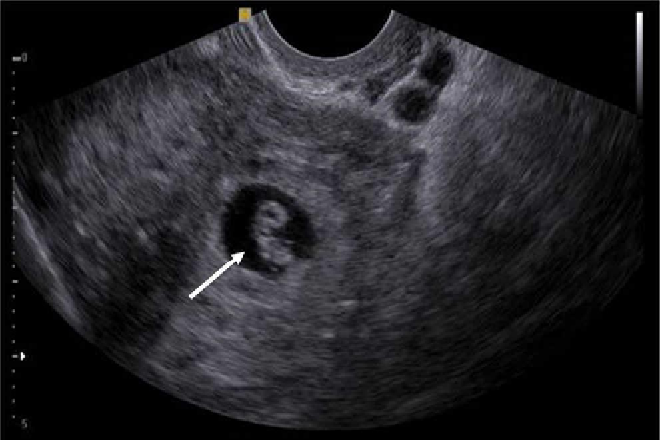
Ecografía obstétrica y abdominal

− Vesícula biliar con litiasis única de aproximadamente 1 cm de diámetro

− Pared abdominal de 2 mm de grosor

− Sin signos de complicación

− Feto único en presentación pelviana y con latidos cardíacos

− Placenta de inserción baja, aparentemente oclusiva total

− Orificio cervical interno cerrado

Transcurrido un día, la gestante refirió aumento de la intensidad del dolor en el epigastrio, con extensión hacia la región lumbar y la espalda, que se incrementaba durante los movimientos fetales,nauseas, vómitos , sudoración .

Se sospechó la posibilidad de una complicación obstétrica, usg utero aumentado  de tamaño  con la cavidad vacía. Hacia el cuerno izquierdo del útero, se observó una imagen ecogénica extensa de aproximadamente 10 cm de longitud y contornos irregulares, que parecía corresponder con la solución de continuidad, así como placenta fúndica y posterior, embrión en posición ectópica, de localización abdominal, ubicado hacia epigastrio, transverso, con latidos cardíacos, diámetro biparietal de 76 mm, circunferencia del abdomen de 277 mm, longitud del fémur de 54 mm, para un peso estimado de 1 465 gramos.

Le realizaron laparotomía de urgencia, placenta invade el músculo uterino hasta la membrana serosa.

Ser realizo  histerectomía subtotal se extrajo al recién nacido, que venía acompañado de un seudosaco amniótico y pH del cordón umbilical de 7.8, Se repusieron las pérdidas hemáticas de la paciente y fue trasladada a la Unidad de Cuidados Intensivos.

El feto falleció a las 26 hrs de nacido por bajo peso  e hipoxemia.

Comentario

El artículo nos hablo de un caso clínico en el cual se detectó tardíamente un embarazo ectópico como es que no fue detectado a tiempo ya que la paciente no llevaba un control prenatal, arriesgando su vida y la del producto.

Es sorprendente que o haya presentado sintomatología en etapas más tempranas del embarazo, en el artículo mencionan que se tuvo que intervenir a la paciente y realizar histerectomía mientras que el feto falleció por múltiples causas.

Artículo escrito por la Dra.  Itzel Rivera Hernández

Inscripciones para curso

Inscripciones para Diplomado

diplomadomedico.com

Abrir chat
¡Conoce nuestros diplomados!
Diplomados en Ultrasonografía
Hola, conoce nuestros diplomados.