Skip links

Hepatocarcinoma y trombosis portal diagnosticados por ecografía y tomografía computada en pacientes cirróticos

Hepatocarcinoma y trombosis portal diagnosticados por ecografía y tomografía computada en pacientes cirróticos

La cirrosis es un importante problema de salud a nivel mundial, siendo una de las 10 principales causas de muerte.

Las principales causas de cirrosis a nivel mundial incluyen la infección crónica por virus de hepatitis C (VHC), virus de hepatitis B (VHB) y el consumo de alcohol.

El carcinoma hepatocelular (CHC) en etapas tempranas suele ser asintomático y su detección tardía conlleva a una baja sobrevida a los 5 años, siendo menor al 5%. En contraste, cuando se diagnostica en etapa inicial, la sobrevida a 5 años es mayor al 50% para aquellos que reciben tratamiento estándar (resección o trasplante hepático).

Importancia de la detección temprana

Es crucial detectar el CHC en fases precoces, especialmente en pacientes con mayor riesgo, dada la mejora en las opciones terapéuticas disponibles.

El riesgo de desarrollar trombosis portal (TP) en cirrosis está relacionado con la gravedad de la enfermedad hepática y la presencia de trastornos protrombóticos hereditarios. Se estima que la TP afecta aproximadamente al 11% de los pacientes con cirrosis, y su diagnóstico debe considerar siempre la posible coexistencia con CHC.

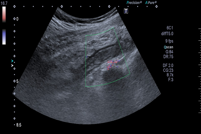
El diagnóstico de CHC se fundamenta en pruebas de imagen o biopsia. En el caso de estudios radiológicos, no se requiere biopsia si los hallazgos característicos están presentes en nódulos de 2 cm o más. Para ello, basta un estudio contrastado trifásico mediante tomografía computada (TC) o resonancia magnética (RM).

Importancia del ultrasonido (US) en el diagnóstico

El objetivo principal de este estudio fue analizar la frecuencia de complicaciones como el CHC y la TP en pacientes cirróticos, destacando el papel fundamental del US como primera técnica de imagen para su detección.

Los resultados de un estudio realizado en 211 pacientes con cirrosis a lo largo de 4 años revelaron la alta eficacia del US en la detección de CHC en casos de daño hepático crónico sintomático.

Lamentablemente, el diagnóstico imagenológico de estas complicaciones suele ser tardío en el 91% de los casos, lo que impacta negativamente en la sobrevida de los pacientes.

Estos hallazgos resaltan la importancia de realizar un screening con US para identificar tempranamente el CHC en pacientes con cirrosis, evitando así llegar a etapas avanzadas donde las opciones terapéuticas son limitadas.

Comentario:

Este estudio subraya la relevancia de utilizar un método tan accesible y seguro como el US para la detección precoz de complicaciones en pacientes con cirrosis hepática. Realizar un screening con US cada 6 meses en estos pacientes puede identificar oportunamente el CHC y mejorar las opciones de tratamiento convencional.

Artículo escrito por el Dr. Abimael Medina

Inscripciones para curso

Inscripciones para Diplomado

medicacapacitacion.com

#cirrosis #carcinomahepatocelular #trombosisportal #ultrasonido #screening

Abrir chat
¡Conoce nuestros diplomados!
Diplomados en Ultrasonografía
Hola, conoce nuestros diplomados.