Skip links

Manejo actual del trauma esplénico

El trauma esplénico puede ser causado por lesiones no penetrantes (cerradas) o por lesiones penetrantes. Los accidentes de tráfico, las caídas desde altura, las agresiones y las lesiones deportivas son las modalidades más comunes de traumatismo cerrado. Sin embargo, la rotura del bazo puede ocurrir en pacientes con infección o malignidad y después de procedimientos médicos. La lesión esplénica, por lo tanto, puede afectar a cualquier grupo de edad.

La evaluación inicial de un paciente con sospecha de traumatismo cerrado del bazo debe ser la misma que para cualquier paciente traumatizado. Los pacientes se evaluaron utilizando el protocolo Advanced Trauma Life Support (ATLS), establecido por el Colegio Americano de Cirujanos, Comité de Trauma pero ahora adoptado en todo el mundo.

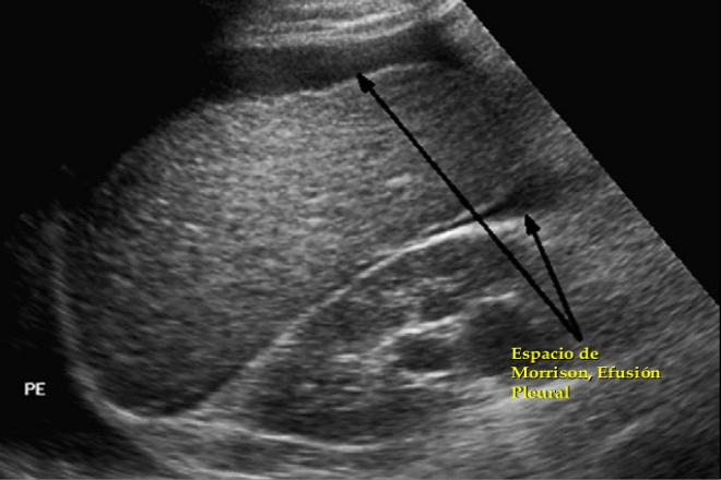
La Ecografía abdominal Enfocada al Ttrauma (FAST) es un protocolo de ecografía abdominal que puede ser realizado por no radiólogos después de un entrenamiento específico y es una competencia básica para todos los alumnos del Reino Unido en medicina de urgencias. Los operadores están entrenados para buscar líquido libre intraabdominal. La ecografía se puede realizar simultáneamente con la reanimación y debe tomar menos de dos minutos. La Ecografía FAST es particularmente útil en pacientes hemodinámicamente inestables, ya que es altamente accesible, rápida de realizar, portátil y no invasiva.

La técnica, sin embargo, tiene limitaciones en los pacientes obesos, es dependiente del operador, y las lesiones intraabdominales pueden pasarse por alto como se evidencia mediante una revisión sistemática.

Una ecografía negativa, por lo tanto, no descarta la lesión y, en estos casos, las imágenes de tomografía computarizada se recomiendan en pacientes hemodinámicamente estables.

Los pacientes con más probabilidades de tener falsas exploraciones rápidas negativas son los que tienen lesiones en el cráneo. Esto puede ser debido a la naturaleza de la distracción por la lesión, lo que puede afectar tanto a la paciente como al examinador, o por el uso liberal de la tomografía computarizada en estos pacientes, que puede detectar pequeños volúmenes de fluido intraabdominal libre. Pequeños volúmenes de líquido intraperitoneal, en el contexto de un traumatismo grave, probablemente tienen poca relevancia clínica, y esto puede explicar por qué los resultados falsos negativos, en estos pacientes, no predicen un resultado adverso.

En los últimos 20 años en el mundo desarrollado la tomografía computarizada que se ha convertido en el estándar de oro para las imágenes en el trauma abdominal cerrado y en la identificación de lesiones esplénicas sobre todo ahora que los escáneres de tomografía computarizada se encuentran en las cercanías de las áreas de reanimación en accidentes y urgencias.

La tomografía computarizada, sin embargo, tiene sus limitaciones. Se ha demostrado que subestima el grado de traumatismo esplénico y no es fiable como un predictor de resultados en los adultos que tienen complicaciones como consecuencia de un traumatismo cerrado del bazo, como el sangrado esplénico retrasado o el absceso subfrénico.

Los pacientes hemodinámicamente inestables con exploraciones rápidas positivas requieren de una exploración quirúrgica de urgencia, con la posibilidad de proceder a una esplenectomía. Sin embargo, los pacientes hemodinámicamente estables con lesiones esplénicas de bajo grado, según lo determinado por tomografía computarizada, pueden ser candidatos para el tratamiento no quirúrgico.

Una reciente revisión sistemática de 21 estudios no aleatorios de tratamiento no quirúrgico sugiere que representa en la actualidad el tratamiento estándar de oro para el trauma esplénico menor y se asocia con una disminución de la mortalidad en trauma esplénico grave (4,8% en comparación con 13,5% para la cirugía).

El salvataje esplénico debe intentarse sólo en pacientes hemodinámicamente estables sometidos a laparotomía por trauma porotras lesiones. En más de 97 % de los pacientes en ese escenario, la esplenectomía en lugar del salvataje esplénico fue el método utilizado. Los métodos de salvataje incluyen la aplicación de un agente hemostático tópico tal como el gel de fibrina, que en una serie de casos resultó en la hemostasia efectiva después de una aplicación en la mayoría de los pacientes, con un salvataje esplénico exitoso y sin regreso al quirófano. Esto se puede utilizar tanto en el traumatismo esplénico como hepático, pero se carece de datos acerca de sus resultados en la literatura.

En los pacientes que son inestables se debe proceder directamente a una laparotomía, con esplenectomía si la hemorragia no se controla.

Para los pacientes en los que la esplenectomía es necesaria, es una preocupación real el desarrollo de una sepsis grave postesplenectomía que ha sido reconocida por alrededor de 40 años.

Se debe ofrecer terapia con antibióticos profilácticos para toda la vida (penicilinas orales o macrólidos) a las personas con alto riesgo de infección neumocócica.

Un estudio de cohorte EE.UU. de más de 33000 enfermos con traumatismos con lesiones esplénicas encontró una tasa de mortalidad hospitalaria del 6,1 %. La mortalidad varía entre estados (2.19.2%).

CONCLUSIÓN

El manejo de trauma abdominal, en este caso hablando de Bazo, una buena herramienta sigue siendo la ecografía FAST, a pesar de que las tomografías computarizada se encuentran en las cercanías de las áreas de reanimación, poque tiene sus limitaciones, ya que se ha demostrado que subestima el grado de traumatismo esplénico y no es fiable como un predictor de resultados en los adultos que tienen complicaciones como consecuencia de un traumatismo cerrado del bazo, como el sangrado esplénico retrasado o el absceso subfrénico.

Artículo escrito por la Dra. Marjorie M. Sánchez Mora

Inscripciones para curso

Inscripciones para Diplomado

diplomadomedico.com

Abrir chat
¡Conoce nuestros diplomados!
Diplomados en Ultrasonografía
Hola, conoce nuestros diplomados.