Skip links

Mola hidatiforme parcial con feto vivo en el tercer trimestre del embarazo

La mola hidatiforme pertenece al conjunto de alteraciones caracterizadas por proliferación anormal de tejido trofoblástico de la gestación, con potencial maligno progresivo. Es una complicación relativamente frecuente del embarazo, que tiende a ocurrir una vez cada 1 000 embarazos en los Estados Unidos y más frecuente aún en Asia (aproximadamente uno de cada 100 embarazos). Incluye la mola no invasora (parcial o completa), la mola invasora y el coriocarcinoma gestacional.

Mola hidatidiforme completa (o clásica): Es la enfermedad trofoblástica más frecuente. Aparece entre las 11 y 25 sem. de embarazo, en promedio, a las 18 sem. Ocurre en 1/2 000 embarazos. Es más frecuente en el Oriente. El riesgo de que ocurra esta enfermedad es mayor en embarazadas menores de 15 años y mayores de 40.

Mola parcial o incompleta: Constituye alrededor del 30 % de los embarazos molares. El útero rara vez está aumentado de tamaño, la preeclampsia es menos frecuente y más tardía, el alza de las gonadotrofinas es menor y no suele asociarse con hiperemesis gravídica ni con hipertiroidismo. Entre las vellosidades alteradas existen vellosidades normales. El trofoblasto presenta escasas atipias. El cariotipo de esta mola es triploide: 66XXY, resultante de la fertilización de un óvulo 22X (con el material cromosómico completo) por dos espermios (22X y 22Y). El embrión es viable algunas semanas. Histológicamente pueden encontrarse partes del embrión y eritroblastos en las vellosidades.

Mola invasora: Se manifiesta principalmente en la invasión del miometrio por vellosidades completas, también pueden estar comprometidos los parametrios.

Coriocarcinoma: Es el carcinoma del epitelio coriónico, extremadamente maligno y metastizante.

Reporte de caso:

Edad: 25 años.

Dirección: Rio Cauto Provincia Granma.

APP: No refiere APF: Padre: Hipertensión arterial.

Grupo sanguíneo: A+.

Serología: no reactiva. Normopeso. Ganancia de peso: 12 Kg.

Consultas prenatales: 15.

Captación precoz del embarazo, el ultrasonido (US) por genética municipal a las 11 sem no reporta alteraciones.

A las 18 sem tiene una discordancia por exceso entre la altura uterina y la edad gestacional, con una ganancia de peso de 1 kg en el tiempo transcurrido.

La alfafetoproteína tuvo resultado normal.

A las 23 sem de embarazo, el US de genética municipal informa:

Diámetro biparietal (DBP): 51 mm, fémur: 37 mm, feto único. Placenta conMúltiples lagos venosos, se observa hiperecogenicidad de asas intestinales y se remite a genética provincial. El reporte ultrasonográfico fue:

DBP: 60 mm, fémur: 42 mm para 24 sem, confirma la placenta muy voluminosa con múltiples lagos venosos, ocupa todo el cuadrante superior derecho. Impresión diagnóstica: posible hemangioma placentario.

Se orienta reposo e interconsulta con especialista de Obstetricia.

Fue evaluada varias veces por genética provincial con el mismo diagnóstico.

El ecocardiograma fetal fue normal, nuevos estudios ultrasonográficos no detectaron alteración en las estructuras fetales ni en el volumen del líquido amniótico.

En la sem 32 del embarazo ingresa en la unidad de cuidados perinatales del hospital «Carlos M. de Céspedes» por dolor en bajo vientre y pérdidas vaginales de flemas con sangre.

Examen físico: AU 38 cms, cefálico, foco fetal 136 por min.

Espéculo: cuello centro posterior y cerrado. No se observan pérdidas.

ID: Amenaza de parto pretérmino.

Posible hemangioma placentario.

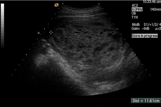
Valoración conjunta con Genética .Reporte del US:

DBP: 78 mm, fémur 61mm, latidos cardiacos (LC) presentes, se observan movimientos corporales. Placenta con imagen mixta en panal de abeja, característica de una mola parcial. Índice de líquido amniótico (ILA) 9 mm.

En discusión colegiada en el servicio de Obstetricia se decide terminar el embarazo por cesárea con el diagnóstico de mola parcial con feto vivo. Riesgo alto de hemorragia obstétrica.

El recién nacido tuvo un peso de 1 266 gramos, Apgar 9-9. Líquido amniótico meconial fluido. Placenta voluminosa, con ramilletes vesiculares, peso de 2 600gramos. El estudio anatomopatológico confirmó el diagnóstico.

La madre y el recién nacido fueron dados de alta sin complicaciones.

Se presenta el caso de una mola hidatiforme parcial con feto vivo en el 3er trimestre del embarazo. El diagnóstico no se realizó inicialmente. La confirmación por ultrasonografía fue en la semana 32 de la gestación.

La incidencia de mola parcial con feto vivo varía y es del orden de 1 por 22.000 a 1 por 100 000 nacimientos13,14 En la mola parcial o embrionada existen dos tipos: la asociada a un huevo o la asociada a un feto: huevo triploide dispérmico con mola parcial y feto, o gemelar verdadero.

COMENTARIO:

Se presenta el caso de una mola hidatiforme parcial con feto vivo en el tercer trimestre del embarazo. El diagnóstico no se realizó inicialmente. La confirmación por ultrasonografía fue en la semana 32 de la gestación. La incidencia de mola parcial con feto vivo varía y es del orden de 1 por 22.000 a 1 por 100 000 nacimientos. En la mola parcial o embrionada existen dos tipos: la asociada a un huevo o la asociada a un feto: huevo triploide dispérmico con mola parcial y feto, o gemelar verdadero. Me llama la atención el por qué no fue diagnosticado previamente.

Abrir chat
¡Conoce nuestros diplomados!
Diplomados en Ultrasonografía
Hola, conoce nuestros diplomados.