Skip links

Protocolo de exploración de páncreas

TÉCNICA ECOGRÁFICA:

AYUNO: no es estrictamente necesario el ayuno,  sin embargo ayuda a disminuir la distención aérea del tracto gastrointestinal. El consumo de agua puede mejorar la visualización de la cola del páncreas.

TRANSDUCTOR: convexo de 3.5-5 Mhz,  pacientes pediátricos transductor 7 MHz.

Puede ser necesario la bipedestación, supino, oblicuos y decúbito para su visualización. O pueden ser útil las maniobras de valsálva  y pausas en inspiración  y espiración.

VALORAR:

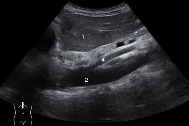
EXPLORACIÓN GENERAL: valorara el diámetro AP de la cabeza y cuerpo, ecoestructura, conducto de wirsung no dilatado.

REFERENCIAS ANATÓMICAS VASCULARES para localizar la anatomía del páncreas:

  • CABEZA: anterior a la vena cava inferior, cuando están en decúbito lateral izquierdo se desliza y se encontrara anterior a la aorta.
  • CUERPO Y COLA: anteriores a la vena esplénica.
  • TRIFURCACIÓN DEL TRONCO CELIACO: se sitúa superior al páncreas.
  • ARTERIA ESPLÉNICA: corre paralela al aspecto superior del páncreas.
  • ARTERIA GASTRODUODENAL: se origina de la arteria hepática común  y se dirige inferiormente sobre las caras anterior y lateral  de la cabeza pancreática.
  • VENA MESENTÉRICA SUPERIOR: posterior del cuello y cuerpo y medial de la cabeza del páncreas.
  1. PROYECCIONES E IMÁGENES BÁSICAS

LONGITUDINAL:

  • Corte transversal de la cabeza del páncreas que incluya la vías biliar
  • Corte transversal del cuello del páncreas con el proceso uncinado, incluyendo la vena mesentérica superior
  • Corte transversal del cuerpo pancreático incluyendo la aorta abdominal
  • Corte transversal de la cola pancreática

OBLICUA: se visualiza en su totalidad

TRANSVERSOS: a nivel subxifoideo.                         

  • Corte del eje mayor que incluya la cabeza con el proceso uncinado, cuerpo, cola y el conducto pancreático si es posible
  • Corte longitudinal del cuerpo del páncreas que incluya la vena esplénica
  • Corte longitudinal de la cola del páncreas
  • Corte longitudinal de la cabeza pancreática incluyendo el proceso uncinado y la vía biliar
  1. FORMA: coma
  2. LOCALIZACIÓN: retroperitoneal
  3. ECOGENICIDAD: homogénea o discretamente heterogénea.

Isoecogénico o  hiperecogénico en relación al hígado.

Hipoecogénico, isoecogénico e hiperecogénico al bazo.

Hiperecogénico por infiltración grasa  en pacientes obesos, diabéticos, ancianos, pancreatitis, infección viral, corticoides.

Variante normal: En la cabeza  área focal  de menor ecogenicidad en la mitad posterior  de la cabeza, relacionado  con el menor contenido graso del proceso embrionario ventral. Se distingue de  procesos patológicos que disminuye la ecogenicidad pancreática;  por su borde liso, ausencia de efecto masa y ausencia de dilatación biliar o pancreática.

  1. BORDES LISOS O LOBULADOS
  2. TAMAÑO:

Longitudinal 12.5 a 20 cm

Cabeza  < 30mm en anteroposterior

Cuerpo < 25 mm  en anteroposterior

Cola < 25mm en anteroposterior

  1. LIMITACIONES:

Factores que impiden una buen la visualización del páncreas

  • La grasa
  • La interposición de gas gastrointestinal
  1. CONDUCTO PANCREÁTICO PRINCIPAL

Se visualiza como una delgada línea sonolucente de unos 3mm paralela al eje mayor de la glándula limitada  por 2 líneas hiperecogénicas que corresponden a sus paredes

Se visualiza mejor  en el cuerpo.

Se ve medial  al conducto  colédoco distal y no debe de confundirse con el colédoco o un conducto cístico.

En las imágenes transversales  se confunde con la pared  hipoecogénica  de la superficie  posterior del estómago y se evita  explorando el plano sagital en el que se observa la pared posterior del estómago en continuidad con el resto de la pared gástrica.

Artículo escrito por la Dra. Nayeli Vázquez Romano

Inscripciones para curso

Inscripciones para Diplomado

diplomadomedico.com

Abrir chat
¡Conoce nuestros diplomados!
Diplomados en Ultrasonografía
Hola, conoce nuestros diplomados.