Skip links

Rol del ultrasonido en el control postoperatorio del cáncer de tiroides

Rol del ultrasonido en el control postoperatorio del cáncer de tiroides

La aplicación del ultrasonido en el estudio de la glándula tiroides es de gran utilidad como método confiable. Su correcto uso para diagnóstico presuntivo del cáncer de tiroides y control luego de su tratamiento quirúrgico, es de fundamental importancia en el seguimiento de esta patología, siendo el mejor método para el estudio del cuello operado.

El cáncer tiroideo es la neoplasia endocrina más frecuente, sin embargo solo representa menos del 1% de todos los tumores en el hombre.

El cáncer diferenciado de tiroides, incluyendo las formas papilar y folicular, ocurre en el 90% de todo el cáncer de tiroides, ocupando solo el 10% otros tipos no diferenciados como el anaplásico, medular, linfoma, sarcoma, carcinoma y metástasis.

De estos porcentajes y debido a su tipo histológico, surge que la supervivencia a los 10 años es del 99% para el cáncer diferenciado de tiroides, 75% para el medular y menos del 5% para el anaplásico. Sin embargo, más del 20% del cáncer diferenciado presenta recurrencias locorregionales y 8% de estos pacientes mueren por esta causa.

La American Thyroid Association (ATA) sugiere el uso del ultrasonido cervical en el seguimiento de pacientes operados de cáncer tiroideo y la realización de punción aspiración con aguja fina (PAAF) cuando los hallazgos indican una posible recurrencia.

La PAAF guiada por US es el «gold estándar» para el diagnóstico y tiene una sensibilidad del 60% al 90%, especificidad del 100%, valor predictivo positivo del 100% y un valor predictivo negativo del 80%, alcanzando una exactitud del 85%.

La PAAF guiada por US es una técnica mediante la cual se puede diagnosticar cáncer en lesiones entre 3 a 5 mm.

Para una correcta utilización y beneficio del método ecográfico debe contarse con información sobre la historia quirúrgica del paciente.

Debemos conocer datos del diagnóstico preoperatorio, el tipo histológico del tumor original, si fue diagnosticado por PAAF, el protocolo quirúrgico, tipo de cirugía realizada, la resección de ganglios, así como el número de cirugías realizadas y la confirmación posterior con anatomía patológica.

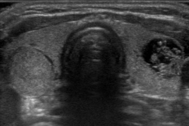
El estudio ecográfico debe comprender la logia tiroidea en el caso de tiroidectomía total y del remanente cuando es subtotal, así como la exploración de todos los territorios ganglionares del cuello.

Durante el primer año, los controles ecográficos se realizan cada tres meses, en el segundo año cada seis y luego una vez al año. Este plan está condicionado a: hallazgos humorales (perfil tiroideo), o a nivel de TSH estimulado con Tg (Tiroglobulina) que puede estar indicando persistencia de la enfermedad, recurrencia o ganglios tumorales, pero es indetectable en 30-57% de los pacientes con tiroidectomía total.

La definición de cura clínica o libre de enfermedad detectable a los 8-12 meses del postoperatorio está basada en niveles no detectables de Tg estimulada en suero y un US normal. También la presencia de ganglios palpables o tumoraciones en la logia tiroidea que puedan indicar actividad tumoral, en cuyo caso se deben hacer cambios en el protocolo y decidir la oportunidad de realizar el examen ecográfico.

Importa también conocer la secuencia posterior de tratamiento con iodo 131, debido a que su efecto perdura en el tiempo cambiando el aspecto del remanente en controles sucesivos, llegando en algunos casos a no volver a identificarlo por su franca disminución de tamaño y vascularización. La ablación con Iodo 131 será realizada como complemento del tratamiento quirúrgico en cáncer agresivo de tiroides o cuando aumentan los niveles de Tg estimulada en suero y debe ser evitada en ausencia de recidivas ecográficas o indetectable nivel de Tg en suero.

Debemos contar con los estudios ecográficos previos a fin de comparar y evaluar la evolución.

El tratamiento quirúrgico puede ser total o parcial y en el caso de tiroidectomía parcial debe estudiarse, al igual que en el estudio prequirúrgico, la morfología del remanente, su ecoestructura, la identificación de nódulos, las características de los mismos y la vascularización.

El objetivo de este artículo es trasmitir la experiencia de 15 años de estudio y seguimiento de pacientes operados con esta patología, destacando el rol del uso del US y la PAAF para el diagnóstico precoz de las recurrencias.

Artículo escrito por el Dr. Oscar Zamora

Inscripciones para curso

Inscripciones para Diplomado

medicacapacitacion.com

# #cáncer #tiroides #ultrasonido #PAAF #ganglios

Abrir chat
¡Conoce nuestros diplomados!
Diplomados en Ultrasonografía
Hola, conoce nuestros diplomados.