
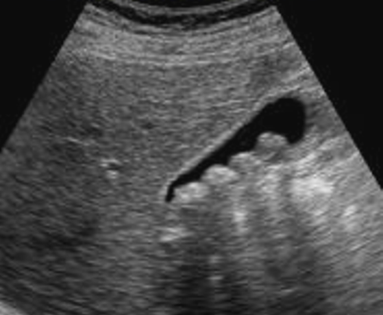
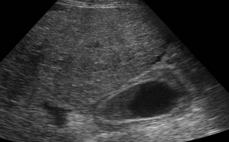
Leiomioma de vesícula biliar en ausencia de patología del sistema inmune, un diagnóstico inusual
Las neoplasias de la vesícula biliar son una patología poco frecuente, pero es común que lo presenten los pacientes con alguna enfermedad autoinmune, este articulo se trata del reporte de un caso clínico de una paciente de 23 años con el diagnostico de Leiomioma. Los leiomas son tumoraciones benignas de








