
Caso Clínico: Abordaje de la Ictericia desde la atención primaria: Importancia de de la ecografía biliar obstructiva.
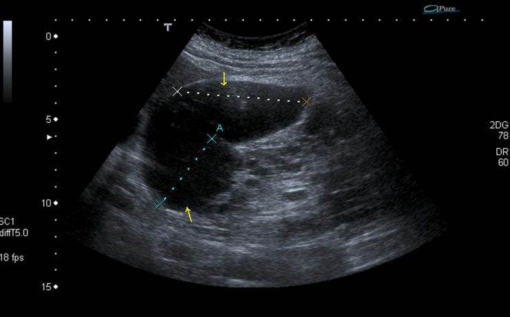
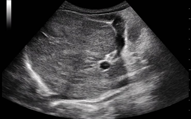
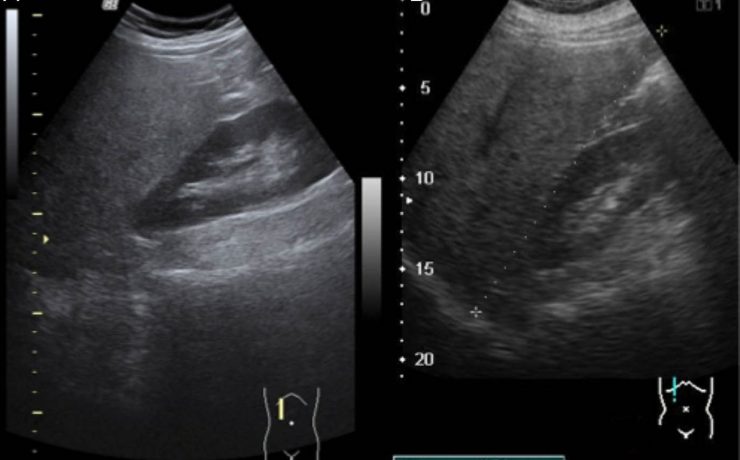
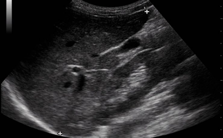
Escrito por Irene Arnanz González en 2014, hace la descripción de una paciente de 94 años quien ingresó a la consulta médica por prurito e ictericia con examen físico sospechoso por lo que se indicó ultrasonido de vías biliares con resultado de vesícula con pared gruesa de hasta 1cm de








