
MIOMAS Y FUNCIÓN SEXUAL
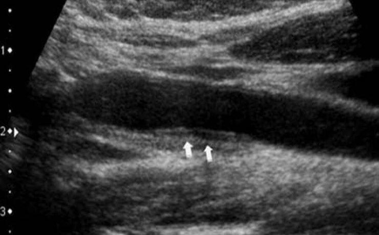
El presente artículo tuvo el objetivo principal analizar la funcion sexual en mujeres portadoras de miomas durante un año, tomando en cuenta el no deseo sexual, la falta de excitación, la falta de orgasmo, presencia de dispareunia y dolor pélvico. El mioma es el tumor solido más frecuente en la
 







