Skip links

Ultrasonografía en el diagnóstico de pancreatitis crónica

Ultrasonografía en el diagnóstico de pancreatitis crónica

El curso y el resultado es pobre para la mayoría de los pacientes con enfermedades pancreáticas. Los avances en la formación de imágenes de páncreas son importantes en la detección de enfermedades pancreáticas en las primeras etapas. La ecografía como herramienta de diagnóstico ha hecho grandes avances en este siglo, no es sólo el método preferido para la primera línea de formación de imágenes, sino cada vez más para aclarar la interpretación de otra modalidades de imagen para obtener decisión clínica eficiente. Se revisaron las modalidades de ecografía, centrándose en imágenes avanzadas de páncreas y su potencial para sustancialmente mejorar el diagnóstico de las enfermedades pancreáticas. Se describen las técnicas de exploración y los protocolos de examen, sus consecuencias para calidad de imagen y la capacidad de obtener y completar la visualización de tallada del páncreas. Se describen también las características ecográficas de las enfermedades pancreáticas, con énfasis en pancreatitis crónica.

Las imágenes de US del páncreas pueden ser difíciles para obtener debido a la localización retroperitoneal, además del gas intestinal, obesidad de los pacientes. La examinación del páncreas se realiza de manera transversal, longitudinal y oblicua. Se puede apreciar de mejor manera al ingerir dos vasos de agua, esto a fin de utilizar el estómago lleno como ventana acústica. La visualización de la cola del páncreas se realiza con una ventana trans esplénica. El páncreas es isoecogénico, o hiperecogénico comparado con el hígado sano. Frecuentemente su ecogenicidad está aumentada por la edad., sus dimensiones son en cabez 2.5cm, 1.5cm de cuerpo y 1cm, el conducto pancreático debe ser menor a 2.5mm. Sus límites anatómicos son: vena porta, vena esplénica, confluencia de la vena mesentérica, vena cava, aorta, arteria mesentérica superior, arteria hepática común, arteria esplénica, colédoco, duodeno, estómago e hígado.

El modo B es la modalidad más utilizada en USG, la completa evaluación puede ser obtenida con este modo. Con esta modalidad en muchas ocasiones es suficiente para diagnosticar muchas enfermedades.

La modalidad THI (tissue harmonic imaging) supera algunos límites del modo B, mejora frecuencia, la delineación lateral es mejorada al igual que la reverberancia, se mejora la diferencia entre líquidos y sólidos. Sus desventajas la reducción del cuadro a valorar, menor profundidad, artefactos y sólo mejora marginal.

Pancreatitis aguda: cambios focales o totales, la pancreatitis focal en la cabeza puede dificultar el diagnóstico versus un tumor de cabeza de páncreas, o imágenes hipoecoicas.

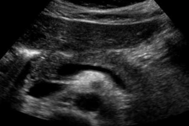
Pancreatitis crónica: en estadios avanzados es fácil su reconocimiento, por presencia de calcificaciones intra ductales, dilatación del conducto pancreático principal, lesiones quísticas o sólidas cercanas al conducto pancreático, atrofia glandular, y parénquima heterogéneo. En el grado moderado la ecogenicidad es homogénea por fibrosis hiperecogénica. Así como infiltración grasa.

Artículo escrito por el Dr Rebollar González Roberto Carlos

Inscripciones para curso

Inscripciones para Diplomado

medicacapacitacion.com

#Pancreatitis #Ultrasonografía #Ecografía #Diagnóstico #ImágenesMedicas

Abrir chat
¡Conoce nuestros diplomados!
Diplomados en Ultrasonografía
Hola, conoce nuestros diplomados.