Vesícula en porcelana y carcinoma de vesícula: correlación de diagnósticos por imagen y anatomopatológico
Vesícula en porcelana y carcinoma de vesícula: correlación de diagnósticos por imagen y anatomopatológico
El objetivo principal del presente artículo es establecer la correlación entre el diagnóstico de vesícula en porcelana por imagen y el diagnóstico anatomopatológico de carcinoma de vesícula biliar en los pacientes atendidos en el Hospital Central Militar.
Vesícula en porcelana: descripción clínica y diagnóstico
El término «vesícula en porcelana» fue acuñado en 1929 para describir la decoloración azulosa y la consistencia quebradiza de una vesícula biliar con calcificación extensa de su pared. Esta afección, más común en la sexta década de la vida, afecta principalmente a pacientes de sexo femenino (relación 5:1) y está fuertemente asociada con la litiasis vesicular (en un 90% de los casos). Los síntomas suelen ser escasos, predominando el dolor intermitente en el hipocondrio derecho.
El cuadro clínico, aunque inespecífico, presenta síntomas como dolor en el hipocondrio derecho, síndrome ictérico, anorexia e hiporexia.
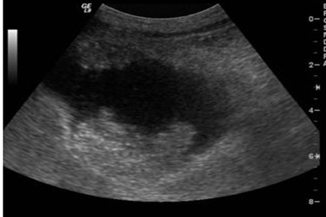
Diagnóstico por imagen de la vesícula en porcelana
En el estudio de los pacientes, la radiografía simple de abdomen y el ultrasonido resultaron ser herramientas útiles. De los pacientes estudiados, el ultrasonido fue el método más empleado (47%), seguido de la tomografía computarizada (16%). Algunos pacientes (37%) requirieron ambos estudios de manera complementaria.
Correlación con el cáncer de vesícula biliar
Aunque la colecistitis aguda es el diagnóstico más frecuente, es esencial considerar los posibles diagnósticos diferenciales en relación con la vía biliar. La vesícula en porcelana, a pesar de su rareza, puede presentar características en las imágenes que confunden a radiólogos menos experimentados, llevando a diagnósticos erróneos o a procedimientos innecesarios. Existe una controversia respecto a la asociación entre la vesícula en porcelana y el cáncer de vesícula, lo cual complica las decisiones clínicas.
A nivel mundial, se han reportado incidencias variables de cáncer de vesícula en pacientes con vesícula en porcelana. En México, aunque se han realizado estudios de prevalencia de cáncer vesicular, aún no se establece una correlación clara entre el diagnóstico por imagen de vesícula en porcelana y el cáncer de vesícula.
Consideraciones finales y recomendaciones
La identificación de la vesícula en porcelana suele ser incidental, destacándose en pacientes de mayor edad y con antecedentes de enfermedades neoplásicas. Es fundamental un seguimiento cercano a través de estudios de imagen en estos casos. Ante la escasa evidencia de la relación con el cáncer de vesícula, se sugiere un enfoque conservador inicial en el manejo de estos pacientes.
Artículo escrito por el Dr. Pedro Mojica Mondragón
#vesículaporcelana #cáncervesícula #diagnósticoporimagen #colecistitis #radiología
 
  
							 
						