Skip links

Que aporta la ultrasonografía endoscópica en el diagnóstico de los tumores neuroendocrinos de páncreas.

La incidencia de este padecimiento es de 1 en 100 000 que representa 1 a 2 % de las neoplasias pancreáticas, se puede presentar en cualquier edad y no hay predilección por algún sexo, con un pico entre los 30 y 60 años

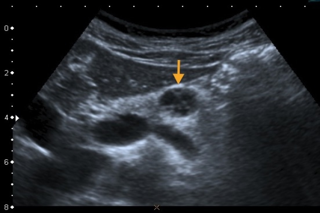
La localización del tumor es difícil sobre todo en los gastrinomas o insulinomas ya que suelen medir dos centímetros de diámetro. El aspecto más característico de los tumores neuroendocrinos  es el de una tumoración redondeada, hipoecogénica, homogénea con límites precisos y refuerzo periférico, mientras que los insulinomas son intrapancreaticos en el 99% de los casos los gastrinomas en el 40 a 70% de los casos.

La ultrasonografía laparoscópica tiene una especificidad y sensibilidad del 95%, con una  alta precisión diagnóstica si se asocia a punción aspiración con aguja fina. En tumores con alta probabilidad metastásica es más efectivo comenzar con una tomografía computarizada, resonancia magnética u octreoscan.

La ultrasonografía endoscópica, permite la estadificación loco regional, incluyendo la invasión vascular.

Los tumores neuroendócrinos de páncreas (TNE), son neoplasias endócrinas intraabdominales más frecuentes. Suelen dividirse en dos grupos: tumores funcionantes productores de hormonas y tumores endócrinos no funcionantes. Más del 50% de los tumores funcionantes producen más de una hormona. Debido a la multitud de hormonas que pueden estar presentes en los tumores funcionantes es difícil determinar mediante estudio inmunohistoquimico que hormona es clínicamente relevante.

Los tumores neuroendocrinos no funcionantes, no cursan con sintomatología relacionada a secreción de hormona, por lo que su diagnóstico suele ser accidental. Alrededor de 2/3 se localizan en la cabeza del páncreas, pueden llegar a producir ictericia obstructiva, el más frecuente es el tumor productor de polipéptido pancreático. Otro grupo son los tumores asociados a la neoplasia endócrina múltiple, siendo su pilar terapéutico la cirugía.

Dentro de los tumores funcionantes el insulinoma es el más frecuente, es un tumor con características benignas con medida de alrededor de un centímetro de diámetro, cursa con hipoglucemia más hiperinsulinismo, su tratamiento es quirúrgico. El gastrinoma ocasiona hipergastrinemia del síndrome de Zollinger Ellison, hay dolor abdominal el diagnostico es por la hipergastrinemia más hiperclorhidria con aumento de gastrinatras la estimulación con secretina. El somatostinoma es por lo general maligno y de gran tamaño, su sintomatología es por el crecimiento tumoral. El vipoma produce el síndrome de Verner Morrison; diarrea hipersecretora, rubicundez facial hipopotasemia y aclorhidria. El glucagonoma se manifiesta con diabetes mellitus, tromboembolismo pulmonar y eritema necrótico migratorio pruriginoso. El ACTHoma es de crecimiento rápido y precozmente presenta metástasis.

Dado que los TNE son tumores hipervascularizados, la arteriografía podría ser de utilidad en su diagnóstico pero su sensibilidad oscila entre el 17 y 55%.

La ultrasonografía endoscópica aporta imágenes de alta resolución  del parénquima pancreático por lo que puede distinguir lesiones de hasta 2-3 mm de diámetro. Los tumores neuroendócrinos generalmente son tumores pequeños y solo los no secretantes o no funcionantes suelen ser voluminosos. Las lesiones son hipo o isoecogénicas, bien delimitadas, pareciéndose a las adenopatías. La USGE se puede considerar como el método diagnóstico inicial de elección para evaluación y manejo de pacientes con sospecha de TNE, también aporta información fundamental sobre la extensión locorregional. A pesar de esto no se debe olvidar que las pruebas de imagen convencionales siguen siendo decisivas para detección de metástasis a distancia.

La USE se considera una técnica segura, muy sensible y coste efectiva para localización preoperatoria de estos tumores, además con la punción con   aguja fina  PAAF guiada por USE aumenta la sensibilidad y puede ser especialmente útil en tumores no funcionantes.

Artículo escrito por la Dra Maribel Santos Montero.

Inscripciones para curso

Inscripciones para Diplomado

diplomadomedico.com

Abrir chat
¡Conoce nuestros diplomados!
Diplomados en Ultrasonografía
Hola, conoce nuestros diplomados.