Skip links

El útero es propenso a las infecciones

La miomatosis, tumoraciones benignas, son muy comunes, presentan síntomas: metrorragia, dolor pélvico. Es muy común. La endometritis es una inflamación del revestimiento mucoso del útero que puede afectar tanto al cuello como al cuerpo del órgano, o a ambos. El cáncer y los tumores fibrosos del útero son bastante frecuentes, al igual que la endometriosis, que consiste en la aparición de revestimiento uterino por fuera del órgano femenino. La adenomiosis es la anidación del endometrio en la capa muscular del útero, el miometrio.

Por ser el órgano de la menstruación, el útero está propenso a alteraciones que causan hemorragia uterina disfuncional e hiperplasia endometrial.

El ovario (lat. ovum, huevo; gr. ooforon) es la gónada femenina productora y secretora de hormonas sexuales y óvulos.[]Son estructuras pares con forma de almendra, con medidas de 1x2x3 cm en la mujer fértil (aunque varía durante el ciclo), y un peso de unos 6 a 7 gramos, de color blanco grisáceo, fijados a ambos lados del útero por los ligamentos uteroováricos y a la pared pelviana por los infundíbulos pelvianos.

Los riñones filtran la sangre del aparato circulatorio y eliminan los desechos (diversos residuos metabólicos del organismo, como son la urea, el ácido úrico, la creatinina, el potasio y el fósforo) mediante la orina, a través de un complejo sistema que incluye mecanismos de filtración, reabsorción y excreción. Diariamente los riñones procesan unos 200 litros de sangre para producir hasta 2 litros de orina. La orina baja continuamente hacia la vejiga a través de unos conductos llamados uréteres. La vejiga almacena la orina hasta el momento de su expulsión.

Se puede dar la ausencia congénita de uno o ambos riñones, conocida como agenesia renal unilateral o bilateral. En casos muy raros, es posible haber desarrollado tres o cuatro riñones

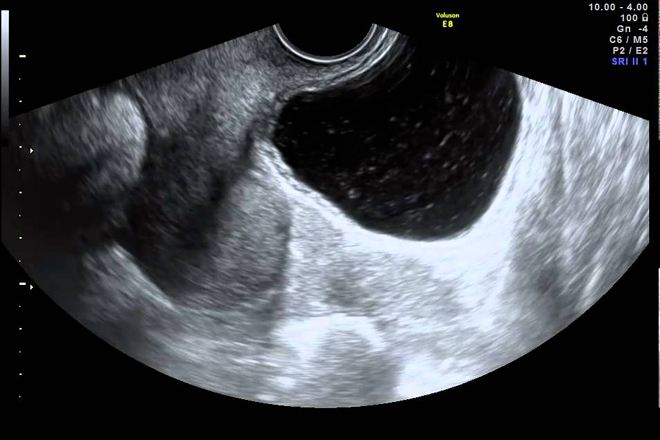
Útero y Ovarios

El útero o matriz es un órgano muscular piri­forme, El diámetro longitudinal del útero, incluyendo al cérvix, es de 75 mm. El cérvix a su vez, mide 25 mm de longitud; por lo que el cuerpo uterino tiene un diámetro longitudinal de 50 mm.

El útero debe medirse del orificio cervical interno (unión del cuerpo con el cérvix), al fondo uterino.

Los diámetros longitudinal y anteroposterior del útero son 50 mm (del orificio cervical interno al fondo) y 35 mm respectivamente.

El endometrio ocupa el centro del útero y representa la mucosa de la cavidad uterina. Esta túnica mucosa posee un estroma muy vascularizado. La forma del endometrio es triangular a la vista de frente (coronal) del útero.

El corte transversal nos presentará al endometrio de forma oval.

Miomatosis Uterina

Su representación morfológica consiste en au­mento de las dimensiones del útero, con pérdida de la homogeneidad de la ecogenicidad uterina y en ocasiones la ondulación del contorno del útero.

Los leiomiomas son las neoplasias más frecuentes del útero, Es la cau­sa más común de aumento del tamaño del útero ante la ausencia de gestación.

Estos tumores benignos cursan asin­tomáticos. Su localización puede ser intramural (miometriales), subserosos (superficie peritoneal del útero) o submucosos (proyección intracavi­taria).

En la práctica ultrasonográfica, los hallazgos de miomatosis, como ya se mencionó, consisten en aumento de tamaño del útero, usualmente a expensas de su diámetro anteroposterior (20-30% de aumento), heterogeneidad de la ecogenicidad uterina y contorno ondulado por la presencia de miomatosis subserosa. Los miomas submucosos alteran el aspecto del endometrio, deformándolo y modificando su ecogenicidad.

Artículo escrito por la Dra. Maricarmen Lara Carbajal

Inscripciones para curso

Inscripciones para Diplomado

diplomadomedico.com

Abrir chat
¡Conoce nuestros diplomados!
Diplomados en Ultrasonografía
Hola, conoce nuestros diplomados.