Características ultrasonográficas de la vesícula biliar en pacientes con preeclampsia-eclampsia
Características ultrasonográficas de la vesícula biliar en pacientes con preeclampsia-eclampsia
La preeclampsia-eclampsia es una enfermedad hipertensiva del embarazo con complicaciones maternas sistémicas. Se ha investigado poco acerca de las características ultrasonográficas de la vesícula biliar en esta condición. El propósito de este estudio fue identificar dichas características en pacientes con preeclampsia-eclampsia.
Características de la vesícula biliar
La vesícula biliar es un órgano hueco con forma de pera, con una longitud promedio de 10 cm y un diámetro transversal de 3 a 5 cm. Se encuentra unida a la parte inferior del hígado, entre los lóbulos cuadrado y derecho. Se conecta al resto del sistema biliar a través del conducto cístico, donde el conducto hepático común se convierte en colédoco. Este desemboca en la segunda porción del duodeno, donde se encuentra el esfínter de Oddi, un esfínter neuromuscular. Normalmente, el cuerpo de la vesícula entra en contacto con el duodeno y el colon.
En el embarazo normal, la vesícula biliar experimenta un aumento de tamaño y una disminución en su motilidad. Tras la evacuación, su volumen residual se duplica en comparación con el estado no gestante. Este aumento diluye la bilis y reduce su capacidad para disolver el colesterol, lo que favorece la formación de cristales y cálculos en su interior.
Además, las elevadas concentraciones de estrógenos y progesterona durante el embarazo se relacionan con una disminución de ácido quenodesoxicólico, lo que conlleva un aumento en la concentración de colesterol. Por lo tanto, la reducción de la motilidad y el incremento del volumen residual junto con los cambios en la composición de la bilis explican el aumento en la incidencia de colelitiasis en mujeres que han dado a luz.
Aunque la exploración ultrasonográfica del abdomen superior es común en mujeres con preeclampsia-eclampsia, por lo general se realiza para confirmar o descartar diversas afecciones como congestión hepática, hematoma subcapsular, litiasis biliar, colecistitis, coledocolitiasis, pancreatitis o litiasis reno-ureteral derecha.
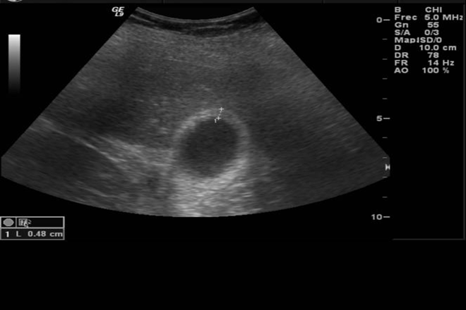
Según los hallazgos ultrasonográficos, se identificaron cinco grupos: edema de la pared (62 casos), apariencia normal (45 casos), litiasis (cinco casos), indeterminado (dos casos) y pólipo vesicular (un caso). El tamaño vesicular fue similar en todos los grupos (longitud 72 ± 9.8 mm y diámetro transversal 27.3 ± 6.6 mm). El grosor de la pared promedió 6.21 ± 3 mm en el grupo de edema, 2.1 ± 0.2 mm en el grupo de apariencia normal, 3 ± 1 mm en el grupo de litiasis y 2 mm en el grupo de pólipo vesicular. El contenido fue anecoico en 102 pacientes (88.7 %), con lodo biliar en 11 mujeres (9.6 %) y en dos casos no fue evaluable (1.7 %).
En un estudio previo, se informó sobre la presión oncótica de las proteínas plasmáticas en el embarazo normal y en el puerperio fisiológico, así como la medición de la fuga capilar en mujeres con preeclampsia grave y eclampsia, donde se encontró una disminución significativa en la presión oncótica de las proteínas plasmáticas, proponiéndola como un índice cuantitativo de la fuga capilar.
En resumen, las características ultrasonográficas más comunes de la vesícula biliar en pacientes con preeclampsia-eclampsia incluyen un órgano de dimensiones reducidas, paredes engrosadas por edema con frecuencia mostrando un «doble contorno» y contenido anecoico. Estos hallazgos deben interpretarse como parte de la preeclampsia-eclampsia y no como signos de enfermedad inflamatoria crónica de la vesícula biliar.
Artículo escrito por la Dra. Yazmin Solis
#preeclampsia #eclampsia #ultrasonido #colelitiasis #embarazo
 
  
							 
						