Skip links

El carcinoma de células renales

El carcinoma de células renales

El carcinoma de células renales (CCR) representa el 2% de todos los cánceres. El tipo más común es el de células claras, representando el 85% de todos los casos de CCR. Los pacientes pueden presentar hematuria, dolor abdominal y una masa palpable, aunque esta tríada solo está presente en el 10% de los casos.

Para su diagnóstico, se utilizan diferentes estudios de imagen como la urografía excretora, el ultrasonido, la tomografía computarizada y la resonancia magnética.

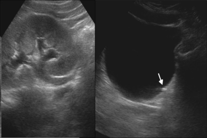
Actualmente, gracias a los avances tecnológicos en ultrasonido, es posible evaluar de manera adecuada las masas renales. Entre los hallazgos más importantes se encuentra una lesión sólida o compleja mayor a 6 cm de diámetro. En cuanto a la ecogenicidad de la lesión, se pueden clasificar en diferentes grados dependiendo de su relación con el parénquima renal. Las calcificaciones, presentes en un 8 a 18% de los casos, pueden ser indicativas de tumores malignos.

El CCR se clasifica según el tipo de células y el patrón de crecimiento. El tratamiento principal es quirúrgico, con la nefrectomía radical como técnica de elección. Actualmente, se están explorando tratamientos con agentes biológicos como el Interferón gamma y alfa, así como la interleucina-2, que han mostrado respuestas positivas en algunos pacientes.

Comentario

El CCR es una neoplasia maligna que afecta principalmente a hombres, aunque en algunas series el género femenino prevalece. La edad de presentación suele ser a partir de los 40 años. La variante más común es la de células claras.

El diagnóstico diferencial por ultrasonido incluye distintas patologías como lesiones quísticas, adenomas, infartos renales, entre otros.

Artículo escrito por

Inscripciones para curso

Inscripciones para Diplomado

medicacapacitacion.com

#carcinoma #células #renales #neoplasia #CCR

Abrir chat
¡Conoce nuestros diplomados!
Diplomados en Ultrasonografía
Hola, conoce nuestros diplomados.