Skip links

Correlación ecográfica-laparoscópica en colecistitis crónica y aguda

El objetivo de este  artículo es correlacionar la clasificación ecográfica con los hallazgos laparoscópicos para pronóstico de colecistectomía laparoscópica y sus complicaciones perioperatorias en un periodo de 10 años.   Se evaluaron 336 pacientes operados por esta vía y los resultados se clasificaron de acuerdo a criterios propuestos en el Programa Stata 9.1 la cual se basa en el grosor de la pared vesicular, presencia de lumen y de cálculos o sombra sónica.

La litiasis vesicular es la patología más frecuente en este órgano y obviamente la  colecistectomía es la cirugía mas realizada, específicamente bajo la técnica laparoscópica, siendo la ecografía el estudio de mayor relevancia para evaluar las características anatómicas en su fase aguda o crónica y no solo por su sencillez, fácil acceso y bajo costo relativamente en comparación con otros estudios.

El estudio descriptivo-prospectivo evaluó a 336 pacientes cuya edad promedio fue de  47 años, 228 mujeres (68%) y 108 hombres (el 32%), los criterios de exclusión fueron: cáncer vesicular, ictericia, cirrosis y coledocolitiasis. Se dividieron en 3 grupos de acuerdo a la propuesta del programa Stata 9.1 de 1997 Como sigue:

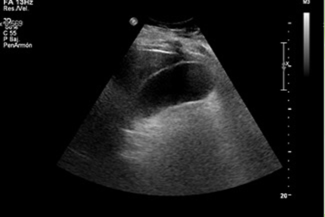
TIPO l: Lumen visible, pared delgada de ≤a 3 mm, cálculos visibles (colelitiasis o colecistitis crónica)

TIPO ll: Vesícula distendida, lumen visible, cálculos visibles y pared engrosada > a 3 mm y a su vez se dividieron en 2 grupos de acuerdo al grosor de la pared; IIA grosor de pared de ≤ 5 mm, IIB grosor de pared > 5 mm (colecistitis aguda litiásica)

TIPO III: Lumen no visible, pared de grosor indeterminado, uno o más cálculos son sombra acústica (vesícula esclerotrófica).

De igual manera se clasificaron los hallazgos laparoscópicos:

TIPO I: Colecistitis crónica simple

TIPO IIA: Colecistitis aguda con pared ≤ 5 mm, edema leve sin fibrosis, necrosis ni áreas hemorrágicas

TIPO IIB: Colecistitis aguda con pared > 5 mm, edema, fibrosis, necrosis y áreas hemorrágicas (colecistitis aguda necro-hemorrágica)

TIPO III: Colecistitis crónica esclerotrófica.

De igual manera se evaluó la presencia de adherencias, dificultades laparoscópicas y la necesidad de conversión a cirugía abierta.  “dificultades intraoperatorias” se definieron  a las complicaciones que interfirieron en el curso normal de la cirugía.

La correlación entre hallazgos ecográficos y laparoscópicos fueron en su mayoría concordantes entre sí, esto es  que mientras por ecografía reportaba colelitiasis o colecistitis crónica se confirmaba el diagnostico al realizar la cirugía. La mejor correlación se reporto en los pacientes con ecografías tipo I y IIB. Si de hallazgos laparoscópicos y dificultades quirúrgicas los resultados son similares. Las complicaciones aumentan al presentarse cuadros agudos mayormente en vesículas inflamadas. Las que presentar mayor conversión son las vesículas escleróticas y/o hemorrágicas.

En conclusión: el ultrasonido continúa siendo el estudio de elección que nos ayuda a realizar diagnósticos oportunos y a predecir el tipo de complicaciones que pueden presentar los pacientes de acuerdo al tiempo de evolución y a la patología que presenta la vesícula, así como el riesgo de conversión en la cirugía laparoscópica.

Artículo escrito por la Dra. Sara Moreno Araujo

Inscripciones para curso

Inscripciones para Diplomado

diplomadomedico.com

Abrir chat
¡Conoce nuestros diplomados!
Diplomados en Ultrasonografía
Hola, conoce nuestros diplomados.