Skip links

Descripción de protocolo de exploración de vesícula biliar

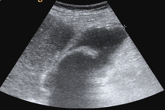
Se evalúa fácilmente con ecografía  sagital y transversal habituales, o con ecografías oblicuas subcostales realizadas con el borde izquierdo del transductor mas cefálico que el borde derecho, la parte frontal del transductor se dirige hacia el hombro derecho, un barrido de cefálico a caudal mostrara la vena hepática media a nivel superior y la fosa de la vesícula biliar a nivel inferior. La fosa discurre desde la superficie anterior de la vena porta derecha en sentido oblicuo hasta la superficie del hígado.

La exploración de la vesícula debe realizarse tras un mínimo de 4 horas de ayuno

SEGÚN MANUAL DE ECOGRAFIA CLÍNICA

 

Para la exploración de la vesícula utilizaremos una sonda convex de baja frecuencia (2,5–‐5MHz).No hay normas claramente establecidas  para localizar la vesícula ya que como hemos comentado anteriormente su ubicación es variable y su tamaño también puede modificarse la maniobra mas empleada para localizarla es la denominada“X–‐7”, donde la X indica el inicio de la posición del transductor (bajo el apéndice Xifoides) con el marcador a la derecha del paciente y dirigiendo el haz de ultrasonidos hacia el hombro derecho del paciente El 7 indica que desplazaremos la sonda bajo el reborde costal derecho alrededor de unos 7 cm hasta encontrar la vesícula biliar. En ocasiones puede ser muy útil hacer que el paciente inspire profundamente para que la vesícula se desplace caudalmente por debajo de la parrilla costal. En Casos especialmente difíciles no queda mas remedio que visualizar la vesícula a través de la parrilla costal (en Estos casos puede ser útil utilizar una sonda sectorial de baja frecuencia como la empleada para las exploraciones cardiologicas) o colocar al paciente en decúbito lateral izquierdo. Una Vez localizada la vesícula es preciso explorarla en toda su extensión y para ello necesitamos una vista longitudinal verdadera Esto Se consigue rotando la sonda sobre su eje. Generalmente En la visión longitudinal de la vesícula encontraremos el“signo De exclamación” formado por la vesícula biliar y la vena  porta. En relación con ambos encontraremos la rama de la arteria hepática procedente del tronco celiaco y el conducto biliar común o coledoco, otro de nuestros objetivos de evaluación. Muchas veces es difícil diferenciar la arteria hepática del colédoco ubicados ambos por encima de la vena porta.

En estos casos es muy útil la visión con Doppler color, en la que se detectara flujo en los vasos sanguíneos Finalmente, una vez localizada la vesícula es importante hacer múltiples cortes, tanto transversales como longitudinales, para estar seguro de que no pasar por alto pequeñas litiasis.

Artículo escrito por la Dra. Tannia Reyes Batres

Inscripciones para curso

Inscripciones para Diplomado

diplomadomedico.com

Abrir chat
¡Conoce nuestros diplomados!
Diplomados en Ultrasonografía
Hola, conoce nuestros diplomados.