Skip links

Detección de nódulos de la glándula tiroides, mediante estudio ultrasonografico, en pacientes voluntarios

Detección de nódulos de la glándula tiroides mediante estudio ultrasonográfico en pacientes voluntarios

El presente artículo tiene como objetivo identificar nódulos asintomáticos en la tiroides en una población voluntaria de Arequipa (Perú) sin antecedentes de enfermedad tiroidea, explorando factores que podrían influir en la formación de estos nódulos.

El estudio prospectivo incluyó a 214 pacientes adultos que asistieron al Policlínico Médico Familiar entre febrero y abril de 2010, sin sospecha de patología tiroidea ni indicación previa de ultrasonido tiroideo. Los criterios de inclusión fueron:

  • Edad de 18 años o más.
  • Ambos sexos.
  • Ausencia de patología tiroidea diagnosticada previamente y de signos y síntomas sugestivos.
  • Autorización para el estudio.
  • Realización del ultrasonido con informe por escrito.

Los criterios de exclusión fueron:

  • Embarazo.
  • Neoplasia.
  • Hepatitis aguda o crónica.
  • Insuficiencia renal crónica.
  • Tratamiento con tiroxina o yodo radiactivo.

Los datos se recopilaron a través de los resultados ecográficos y una ficha con información general del paciente (nombre, edad, sexo, talla, IMC, tabaquismo, etc.) completada por los investigadores. Durante el estudio, los pacientes se posicionaron en decúbito dorsal con hiperextensión del cuello para facilitar la exploración y se aplicó gel en el área a estudiar.

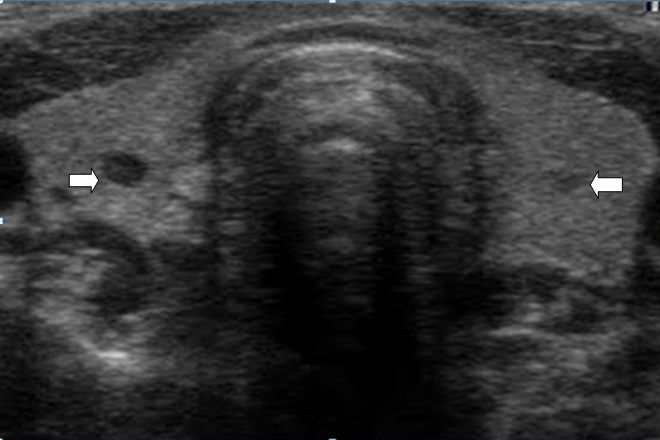
Se consideró como tejido tiroideo normal aquel con una ecogenicidad homogénea mayor que la de los músculos adyacentes. Se definieron los nódulos como imágenes bien delimitadas dentro del parénquima tiroideo, pudiendo ser únicos o múltiples. Se clasificaron las características de los nódulos en:

  1. Anechoico.
  2. Hipoecoico.
  3. Isoecoico.
  4. Hiperecoico.
  5. Patrón Mixto.

Al finalizar el estudio, se identificaron 48 pacientes con nódulos tiroideos, de los cuales 9 eran hombres y 39 mujeres. Los antecedentes comunes en estos pacientes incluyeron tabaquismo, antecedentes familiares de enfermedad tiroidea, enfermedades cardiovasculares y enfermedades metabólicas. La edad promedio de los pacientes con nódulos fue de 47,8 años en hombres y 45 años en mujeres. Se encontraron 110 pacientes con pre obesidad, 26 con obesidad tipo I, 3 con obesidad tipo II y 4 con delgadez aceptable.

En conjunto, la prevalencia de los nódulos detectados fue similar a la reportada en la literatura mundial, y los factores comunes también coincidieron con los encontrados comúnmente en esta condición.

Comentario:

Considero que la parte central de este estudio es la prevalencia similar de la enfermedad en una población específica en comparación con los datos a nivel mundial, sin identificar factores agravantes significativos.

Una vez más, se subraya la importancia de la ecografía en la detección temprana y asintomática de esta enfermedad. La identificación temprana, siguiendo este ejemplo de estudio en la glándula tiroides, podría marcar la diferencia entre un diagnóstico y tratamiento oportunos y eficaces, y un diagnóstico tardío con consecuencias graves.

Artículo escrito por la Dra. Priscilla K. Morales Flores.

Inscripciones para curso

Inscripciones para Diplomado

medicacapacitacion.com

#tiroides #nódulostiroides #ultrasonido #prevalencia #deteccióntemprana

Abrir chat
¡Conoce nuestros diplomados!
Diplomados en Ultrasonografía
Hola, conoce nuestros diplomados.