Enfermedades de la mama durante el embarazo y lactancia
Una de cada 7 mujeres embarazadas y lactantes un evento patológico en la mama. Por este motivo la evaluación mamaria debe ser rutinaria en la paciente obstétrica, con una exploración mamaria y evaluación de factores de riesgo en la primera consulta obstétrica donde los cambios mamarios aún son poco evidentes, posteriormente debe ser periódica la evaluación mamaria.
Las causas más frecuentes de consulta en los servicios de mastología en mujeres embarazadas y lactantes son: mastitis y tumor mamario. La patología mamaria puede dividirse en patología benigna (tumoral y no tumoral) y enfermedades malignas.
En las mujeres embarazadas y lactantes debe considerarse lo siguiente: La evaluación diagnóstica se hace de igual forma que en la mujer no embarazada, la edad es importante ya que a partir de los 30 años los tumores mamarios deben ser extraídos preferentemente para diagnóstico histológico completo, el ultrasonido y mastografía son seguros, la BAAF está indicada si hay un tumor palpable, en caso de nódulos se realiza evaluación clínica, imagenológica y citológico con BAAF.
PATOLOGIA MAMARIA BENIGNA
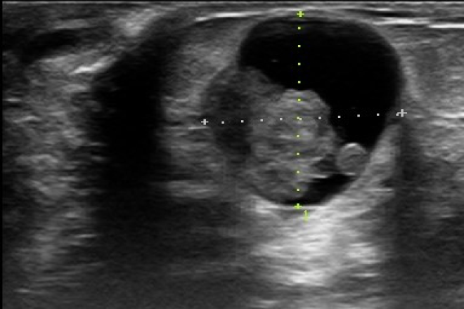
FIBROADENOMA
Tumor fibroepitelial benigno de crecimiento lento y generalmente asintomático, prolifera en respuesta a estímulo estrogénico, por lo que el embarazo puede causar proliferación de lesiones preexistentes, dolor regional. Clínicamente es un nódulo bien limitado, ahulado, móvil, casi siempre indoloro, aprox de 1-5cm, suelen ser múltiples y a veces bilaterales. Mastográficamente pueden no ser visibles en mujeres jóvenes, si se ve es de mayor densidad, homogéneo, redondeado u ovoide, borde bien delimitado, a veces con macrocalcificaciones en su interior como “palomita de maíz”. Al ultrasonido aparecen como una imagen redonda u oval, con ecos internos débiles, distribución uniforme y atenuación intermedia. La BAAF por el embarazo puede presentar cambios proliferativos confundiendo atipia celular. El tratamiento es quirúrgico con excisión local completa.
GALACTOCELE
Lesión mamaria poco frecuente, un quiste mamario es ocupado y rellenado por leche en la etapa de la lactancia. Clínicamente es un nódulo blando, indoloro, unilateral, de aprox 1-5cm que aparece semanas o meses después de iniciada la lactancia y con lactancia activa al momento del
MARIA DEL CONSUELO GONZALEZ ALEMAN
diagnóstico, al suspender la lactancia puede persistir organizándose formando un nódulo caseificado bien delimitado. Al ultrasonido es de pared delgada y ecogénica, de ecos internos variables, asociado a un nivel graso-líquido en ocasiones. El tratamiento es punción evacuadora y escisión quirúrgica en caso de recurrencia.
GIGANTOMASTIA (HIPERPLASIA GESTACIONAL)
Hipertrofia de la glándula mamaria durante el embarazo, la fisiopatología no es conocida. Clínicamente se trata de una mujer sana con desarrollo paulatino masivo desde el primer trimestre, asociado a dolor, firmeza del parénquima, piel brillante y tensa que puede ulcerarse y necrosarse. El tratamiento es analgesia, después del parto tamoxifeno y bromocriptina.
MASTITITS PUERPERAL
Proceso inflamatorio infeccioso de la mama en la etapa puerperal, puede adquirirse intrahospitalariamente en el puerperio (epidémica) por estafilococo aureus y se transmite al neonato cuando succiona. Clínicamente hay pus a la compresión del pezón, debe suspenderse la lactancia. El tratamiento es calor local, limpieza de la piel, drenaje de abscesos, antibioticoterapia.
En la mastitis puerperal no epidémica generalmente hay antecedente de pezones agrietados y ectasia láctea, encontrándose clínicamente una zona de induración progresiva, dolor, hiperestesia, la zona afectada con hiperemia, hipertermia y tensa, puede haber cuadro febril y lecucocitosis, los ganglios axilares pueden estar aumentados de tamaño. La etiología es bacteriana, el tratamiento antibiótico terapia. En casos de secreción purulenta o abscesos se suspende la lactancia.
OTRAS LESIONES
Durante el embarazo y lactancia pueden diagnosticarse lesiones preexistentes como lipomas, adenolipomas, papilomas. Pueden desarrollarse cambios inducidos por proliferación hormonales y estrogénicas.
CARCINOMA MAMARIO ASOCIADO A EMBARAZO
El cáncer mamario es la segunda neoplasia asociada al embarazo, la primera es el cervicouterino. El pronóstico y la evolución de la enfermedad no se ven modificados por el embarazo, pero si puede retrasarse el diagnóstico por dificultad diagnóstica o descuido.
El diagnóstico clínico se hace igual que en la no embarazada, pero en la mujer joven embarazada son menos evidentes los tumores mamarios pequeños.
Por laboratorio y gabinete debe realizarse la etapificación.
La radioterapia debe ser evitada durante el embarazo. Aunque el aborto parecería simplificar el tratamiento y la administración de quimioterapia y radioterapia se hacen más fáciles, debe
MARIA DEL CONSUELO GONZALEZ ALEMAN
individualizarse y actuar bajo detallada evaluación. La quimioterapia debe evitarse en el primer trimestre.
El embarazo después del diagnóstico de cáncer de mama no agrava el pronóstico o se asocia a eventos adversos epeciales.
COMENTARIO:
Debemos tener muy presentes todos los cambios estructurales que presenta la mama durante el embarazo y lactancia para de esta forma poder hacer un adecuado diagnóstico diferencial de la patología mamaria que nos lleve a determinar cuando una lesión es benigna o maligna, ya que de esto dependerá un diagnóstico precoz y oportuno de lesiones malignos y un tratamiento adecuado, sobre todo para el caso de las lesiones de apariencia maligna, que deberán describirse a detalle y siempre sugiriendo una correlación con la clínica y con otros estudios de laboratorio.
Artículo escrito por la Dra. Consuelo González
 
  
							 
						