Skip links

Esplenomegalia

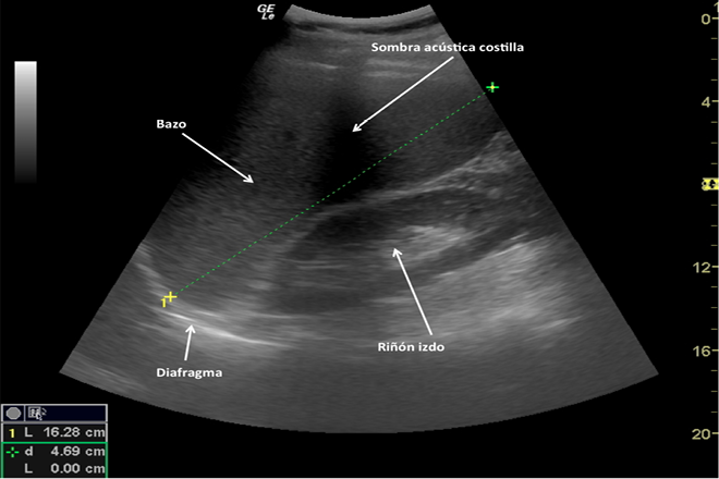
La esplenomegalia se refiere al aumento del tamaño del bazo, que en un adulto tiene unas dimensiones aproximadas de 12 × 7 × 3.5 cm, un peso de 150 g y un volumen de 300 ml. Este órgano desempeña un papel fundamental en la respuesta inmune, actuando como un filtro sanguíneo para eliminar los glóbulos rojos envejecidos, así como otras células sanguíneas unidas a anticuerpos. En la pulpa roja esplénica se destruyen los glóbulos rojos envejecidos y se eliminan las inclusiones celulares de los reticulocitos. Por otro lado, la pulpa blanca contiene macrófagos y linfocitos B y T que participan en la detección de microorganismos y proteínas extrañas como parte de la respuesta inmune primaria, siendo el bazo el principal productor de IgM, especialmente durante la infancia.

Causas de la esplenomegalia

  • 1. Hiperplasia de las células del sistema retículo endotelial (SRE) o líneas linfoides: Se presenta en diversas infecciones sistémicas, enfermedades autoinmunes (como el síndrome de Felty, síndrome de Fisher-Evans, lupus eritematoso sistémico) y tirotoxicosis. Las infecciones que comúnmente causan esplenomegalia incluyen endocarditis infecciosa, tuberculosis, mononucleosis infecciosa, tifoidea, histoplasmosis y paludismo.
  • 2. Esplenomegalia congestiva: Principalmente asociada a enfermedades hepáticas, especialmente cirrosis con hipertensión portal (síndrome de Banty).
  • 3. Anormalidades en la morfología de los eritrocitos: La esferocitosis hereditaria, talasemias, enfermedad de células falciformes, anemia hemolítica autoinmune y policitemia vera pueden provocar atrapamiento de glóbulos rojos en los sinusoides de la pulpa roja, generando esplenomegalia y anemia.
  • 4. Hematopoyesis extramedular: Se observa hematopoyesis esplénica en situaciones de insuficiencia de médula ósea como en la mielofibrosis con metaplasia mieloide, mieloptisis y osteopetrosis.
  • 5. Esplenomegalia maligna: Los linfomas (como el linfoma de Hodgkin y los linfomas no Hodgkin) son las enfermedades malignas primarias más frecuentes que afectan al bazo, aunque también puede ser el sitio de asentamiento de otras enfermedades malignas como la Leucemia Mieloide Crónica (LMC), leucemia linfocítica crónica (LLC) y leucemia de células peludas (tricoleucemia).

Artículo escrito por el Dr. Gutiérrez Guerrero Javier

Inscripciones para el curso

Inscripciones para el Diplomado

medicacapacitacion.com

#esplenomegalia #bazo #hiperplasia #linfoma #anemia

Abrir chat
¡Conoce nuestros diplomados!
Diplomados en Ultrasonografía
Hola, conoce nuestros diplomados.