Skip links

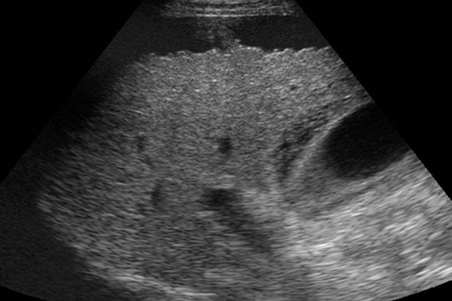
Hallazgos ecográficos con contraste en paragonimiasis hepática.

La  paragonimiosis es una enfermedad causada por diferentes especies de trematodos del género Paragonimus. Afecta a unos 22 millones de personas en el mundo, con focos endémicos en Asia, África y el Continente Americano. En México, se consideran zonas endémicas Colima, Puebla, Hidalgo, San luis Potosí, Michoacán, Nayarit; también se ha detectado en Yucatán, Veracruz, Tabasco, Chiapas y Estado de México. Principal sitio de paragonimiasis son los pulmones, la infestación ectópico puede ocurrir en lugares tales como el cerebro, los músculos, retroperitoneo, y el hígado.  El paragonimus requiere de 2 hospederos intermediarios, un molusco y un crustáceo de agua dulce antes de instalarse en hospederos definitivos, el humano y una amplia variedad de mamíferos domésticos y silvestres.

Se ingresan al hospital 15 pacientes con paragonimiosis la ultrasonografia convencional se realizó con Philips con un 15-MHz transductor convexo. Se administró la inyección en bolo de 2,4 ml de un agente de contraste hexafluoruro de azufre-micro burbuja. Se revisaron retrospectivamente y correlacionados con los hallazgos patológicos. Todos los pacientes fueron sometidos a cirugia y el diagnóstico confirmado histologicamente. Los principales hallazgos patológicos incluyen: necrosis coagulativa o licuefacción dentro de la lesión, Infiltración de un gran número de eosinófilos con la formación de abscesos eosinofílica crónica y esporádica distribución de los cristales de Charcot-Leyden, y hiperplasia de tejido granulomatoso y fibroso alrededor de la lesión.

Comentario. De acuerdo al estudio realizado se puede encontrar su propia imagen utrasonografica que nos haga sospechar en paragonimiasis, con una imagen hipoecoica subcapsular, aun siendo la paragonimiasis poco común habría que sospecharla.

Tumores primarios del hígado, el carcinoma hepatocelular, que se presenta en adultos con hígados cirróticos (en niños se ha visto sin cirrosis), se asocia a la infección persistente por el VHB y el VHC incluyendo a los portadores asintomáticos. El tumor más frecuente del hígado es la metástasis, especialmente de carcinomas de origen gastrointestinal, mamario y pulmonar. Así mismo con menor frecuencia se observan síntomas paraneplásicos, tales como diarrea, eritrocitosis, hipercalcemia, hiploglucemia o manifestaciones cutáneas.

Es un estudio descriptivo y transversal con pacientes diagnosticados con masa hepática sólida, con un punto de vista clinicoepidemiológico y ecográfico. Con 89 pacientes con criterios de inclusión, exclusión, variables sociodemográficas y clínicas. No se analizaron los marcadores virales de hepatitis, ni alfafetoproteina así como biopsia hepática.

Los resultados de estos estudios demuestran que la incidencia de masa hepática sólida es más significativa en adultos jóvenes en manera que están en riesgo de contraer hepatitis B.

En el presente estudio solo presenta una evaluación comparativa con respecto a otros estudios de mayor número de pacientes como la de Parkin con 56,4000 pacientes con cáncer de hígado, no llegando a un diagnóstico de hepatoma pero tomando en cuenta la incidencia de masa hepática sólida. Encontrando imágenes por ultrasonido  con la presencia de nódulos múltiples en ambos lóbulos hepáticos lo que índica de acuerdo a la literatura que el 75 % de estas lesiones están presentes en el diagnóstico de hepatoma.

Artículo escrito por el Dr. Antonio Pacheco Peña

Inscripciones para curso 

Inscripciones para Diplomado

diplomadomedico.com

Abrir chat
¡Conoce nuestros diplomados!
Diplomados en Ultrasonografía
Hola, conoce nuestros diplomados.