Miomatosis uterina
Miomatosis uterina
El útero o matriz es un órgano muscular piriforme, de pared gruesa ubicado entre la vejiga urinaria y el recto. Su porción superior o cuerpo, se continúa hacia abajo con el cuello o cérvix.
El diámetro longitudinal del útero, incluyendo al cérvix, es de 75 mm. El cérvix a su vez, mide aproximadamente 25 mm de longitud, por lo que el cuerpo uterino tiene un diámetro longitudinal de 50 mm.
El tamaño del útero varía naturalmente, dependiendo de si se trata de una mujer nuligesta o con embarazos previos. En la edad adulta, su tamaño es diferente al de una niña, como se verá en el apartado pediátrico.
Al realizar un ultrasonido del útero, es importante medirlo desde el orificio cervical interno (unión del cuerpo con el cérvix) hasta el fondo uterino, evitando incluir el cérvix, ya que un cuello largo puede llevar a un diagnóstico erróneo de un útero agrandado.
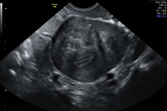
MIOMATOSIS UTERINA
Esta es la alteración más común encontrada en la práctica diaria de la ultrasonografía en el ámbito de la patología uterina. Se caracteriza por el aumento de las dimensiones del útero, pérdida de la homogeneidad de la ecogenicidad uterina y en ocasiones, la ondulación del contorno uterino.
Los leiomiomas son los tumores benignos más frecuentes del útero, presentes en aproximadamente un tercio de las mujeres en la cuarta década de la vida. Son la causa más común de agrandamiento uterino en ausencia de embarazo.
Estos tumores suelen ser múltiples y pueden causar dolor y sangrado uterino con relativa frecuencia, aunque también pueden ser asintomáticos.
Los miomas intramurales o miometriales son los más frecuentes y son los responsables principales del crecimiento uterino, aumentando inicialmente el diámetro anteroposterior del útero y dándole una forma esferoidal. La presencia de miomas subserosos puede llevar a un contorno ondulado del útero. Estos miomas pueden ser sésiles o pediculados, simulando tumores anexiales no relacionados con el útero.
OVARIOS
Los ovarios son órganos ovalados ubicados a los lados del útero, generalmente a la altura de ambos cuernos uterinos, con un diámetro mayor (vertical) de aproximadamente 30 mm y un espesor de 20 mm. Producen óvulos o células germinativas.
Los folículos ováricos se desarrollan durante el ciclo menstrual, aumentando de tamaño y sufriendo una ruptura a mitad del ciclo.
Para estudiar los ovarios mediante ultrasonografía, se debe localizar primero el útero en un plano sagital y luego ubicar el haz de ultrasonido en el fondo uterino.
OVARIOS POLIQUISTICOS
Una de las alteraciones más comunes de los anexos ováricos es la poliquistosis ovárica. Se caracteriza por la presencia de múltiples imágenes quísticas de pequeño tamaño en el parénquima ovárico, asociada a una disminución en la ecogenicidad del ovario debido a la presencia de múltiples quistes microscópicos que no son visibles en el ultrasonido convencional. También puede haber un aumento en el tamaño de los ovarios. Un ovario típicamente poliquístico muestra pequeños quistes parenquimatosos y es ecolúcido.
La poliquistosis ovárica está relacionada con problemas de fertilidad, ya que se asocia con anovulación crónica y trastornos menstruales de diversa severidad.
DISPOSITIVO INTRAUTERINO
La posición intracavitaria de un dispositivo anticonceptivo puede ser motivo de consulta en ultrasonografía, pero a veces es difícil determinar con precisión si se encuentra completamente dentro de la cavidad uterina, incluso con el uso de transductores intracavitarios.
En algunos casos, puede ser necesario utilizar medio de contraste en la cavidad uterina junto con estudios radiológicos (fluoroscopia y toma de imágenes en diferentes posiciones) para confirmar que el dispositivo está completamente intracavitario y descartar la posibilidad de que esté parcial o totalmente incrustado.
Se puede dar el caso de que un dispositivo esté totalmente incrustado con solo una delgada capa de tejido endometrial que lo recubre, lo cual podría pasar desapercibido en un estudio de ultrasonografía y requerir un estudio radiológico adicional.
Artículo escrito por el Dr. Franco Padilla Diego Armando
#miomatosis #leiomiomas #ovarios #ultrasonografia #ginecologia