Skip links

Diagnostico clínico y epidemiológico de la litiasis vesicular.

Diagnóstico clínico y epidemiológico de la litiasis vesicular

La litiasis vesicular es una enfermedad crónica multifactorial, frecuente en el aparato digestivo y una de las cirugías más comunes. Es fundamental realizar un ultrasonido abdominal de la vesícula y vías biliares en pacientes con factores de riesgo.

Esta enfermedad afecta al 20% de las mujeres y al 10% de los hombres. En América Latina, entre el 5% y el 15% de la población la presenta, siendo en su mayoría asintomática. Algunos pacientes pueden experimentar síntomas inespecíficos, asociados al síndrome dispéptico, pero solo el 8% de ellos tiene litiasis biliar confirmada.

Complicaciones

  • Colecistitis aguda
  • Hidrocolecisto
  • Piocolecisto
  • Colangitis ascendente
  • Pancreatitis

Aspectos morfológicos

En los canalículos biliares hepáticos se produce la bilis, necesaria para la absorción de grasas y nutrientes liposolubles. La principal causa de enfermedad biliar es la formación de cálculos. La vesícula biliar tiene la función de almacenar y liberar la bilis al duodeno para la digestión y absorción de alimentos grasos. La formación de cálculos ocurre cuando la bilis se estanca y se cristaliza en la vesícula.

Patogenia

En la formación de cálculos de colesterol intervienen sobresaturación de la bilis con colesterol, nucleación del colesterol en la bilis y contracción insuficiente de la vesícula para vaciar su contenido. Los cálculos de colesterol son los más frecuentes y están asociados a diversos factores de riesgo.

  • Edad, obesidad, número de gestaciones, diabetes, niveles de triglicéridos y HDL, enfermedad de Crohn, tabaquismo, embarazo, anticonceptivos, antecedentes familiares, dieta inadecuada.

Litiasis sintomática

Se manifiesta con cólico biliar de intensidad moderada a severa, localizado en hipocondrio derecho y que puede irradiarse. El dolor es constante, empeora con comidas grasas, acompañado de náuseas, sudoración y vómitos. La fiebre sugiere colecistitis aguda en caso de dolor prolongado.

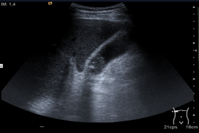
Pruebas de imagen

El ultrasonido abdominal es la prueba más útil para diagnosticar litiasis vesicular, detectando cálculos mayores de 3mm, independientemente de su opacidad. En la imagen, los cálculos aparecen como áreas hipoecoicas que se desplazan con el movimiento del paciente.

Complicaciones

  • Colecistitis crónica
  • Colangitis aguda
  • Pancreatitis
  • Cáncer de vesícula
  • Absceso, perforación, peritonitis y sepsis

#litiasis #vesicular #ultrasonido #colelitiasis #colecistitis

Abrir chat
¡Conoce nuestros diplomados!
Diplomados en Ultrasonografía
Hola, conoce nuestros diplomados.