Skip links

Neoplasias del páncreas

Neoplasias del páncreas

Adenocarcinoma ductal

Es la neoplasia más frecuente en el páncreas. Es el noveno tumor más común del cuerpo y la quinta causa de muerte por neoplasias. Aparece con mayor frecuencia en la séptima década de la vida, pero también puede presentarse en personas menores de 40 años. Se asocia con factores como tabaquismo, diabetes y alcoholismo. Los síntomas incluyen dolor en la parte alta del abdomen con irradiación hacia la espalda, pérdida de apetito, fatiga, náuseas, vómitos y posiblemente diabetes. Entre el 25% y el 50% de los casos la tumoración se localiza predominantemente en la cola del páncreas. Además, puede haber ictericia, hepatomegalia, vesícula palpable y dilatación de las vías biliares. En casos donde el crecimiento tumoral es en la región de la cabeza del páncreas, también se pueden presentar trastornos hematológicos y sangre oculta en heces.

Estudios y diagnóstico

En los análisis de laboratorio se observa un aumento en la fosfatasa alcalina, bilirrubinas, alfa-glutamiltransferasa, y de forma moderada en la aspartato aminotransferasa y deshidrogenasa láctica. Los marcadores tumorales como el antígeno carbohidrato 19-9, antígeno carcinoembrionario ACE y CA50, siendo el CA 19-9 el más específico.

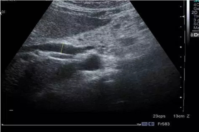
El ultrasonido puede identificar zonas de inflamación pancreática, lesiones hipoecoicas, áreas con ecogenicidad heterogénea y patrones hiperecogénicos. También puede ayudar a identificar la dilatación del conducto de Wirsung y de las vías biliares.

Quistoadenoma mucinoso

Este tipo de neoplasia se caracteriza por la dilatación de los conductos pancreáticos debido a la producción excesiva de mucina. Afecta principalmente la parte cefálica del páncreas y suele tener baja tendencia a la infiltración.

Al ser una lesión que afecta los conductos principales del páncreas, puede presentarse como una lesión plana o polipoide. Al ser analizado con ultrasonido y tomografía, se visualiza como una lesión con baja ecogenicidad que indica alto contenido de mucina. También se pueden identificar dilataciones de los conductos biliares llenos de mucina con diferentes grados de ecogenicidad.

En el ultrasonido, se puede observar una lesión redondeada u ovoide con contenido hipoecoico y tendencia al líquido, engrosamiento de los septos, lesiones papilares sólidas y, en el Doppler color, vascularización no formada en las lesiones papilares, así como posibles calcificaciones en la pared.

Otros tumores quísticos

Existen diversos tipos de tumores quísticos pancreáticos, como los quistoadenocarcinomas mucinosos, ductoectásicos, carcinomas de células acinares, pancreatoblastomas, neoplasias epiteliales sólidas quísticas, entre otros.

La ultrasonografía y otros métodos de imagen son herramientas fundamentales para el diagnóstico preciso de las neoplasias del páncreas, facilitando la evaluación de la extensión de la enfermedad, la resecabilidad tumoral y el pronóstico, lo que mejora el abordaje clínico y terapéutico.

Comentario

El ultrasonido es una herramienta indispensable en el diagnóstico y seguimiento de las neoplasias pancreáticas, permitiendo una evaluación detallada de las estructuras afectadas y contribuyendo a una mejor planificación terapéutica.

Escrito por la Dra. Ana Magdalena Andario Pérez

Inscripciones para curso

Inscripciones para Diplomado

medicacapacitacion.com

#Páncreas #Neoplasias #Adenocarcinoma #Ultrasonido #Diagnóstico

Abrir chat
¡Conoce nuestros diplomados!
Diplomados en Ultrasonografía
Hola, conoce nuestros diplomados.