Skip links

Pseudoquiste pancreático gigante

El pseudoquiste pancreático es una entidad cuyo diagnóstico estuvo limitado durante décadas a pacientes con alta sospecha clínica y lesiones con dimensiones suficientemente grandes, como para ser palpadas y reconocidas mediante signos radiológicos indirectos secundarios al desplazamiento de órganos y vísceras adyacentes. El vertiginoso desarrollo de las técnicas de imagen avanzadas como son la ultrasonografía, la tomografía computarizada, la resonancia magnética y la colangiopancreatografía, entre otras, han permitido un aumento en la frecuencia diagnóstica del pseudoquiste pancreático (en ocasiones subclínico), así como un mayor conocimiento de su historia natural y un mejor manejo terapéutico. Por ello, en la actualidad el dominio de los signos radiológicos juega un papel primordial en su diagnóstico y tratamiento.

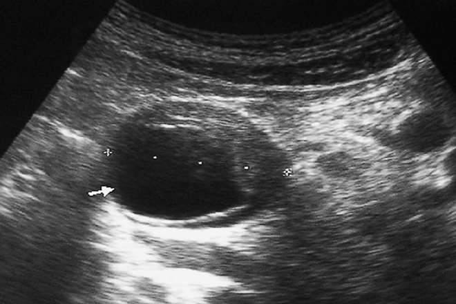
El pseudoquiste pancreático se define como una colección de más de 4 semanas de evolución, limitada por una pared fina de tejido reactivo granulomatoso o conectivo, sin revestimiento epitelial (a diferencia de los quistes verdaderos) y cuyo aspirado demuestra líquido estéril, hipocelular y rico en enzimas pancreáticas, secundario a la extravasación de estas últimas. Se presentan como complicación en el 15% de las pancreatitis agudas, relacionándose también con pancreatiti crónicas e ingesta crónica de alcohol (75 %). Según Greenberger, los pseudoquistes suelen deberse a procesos inflamatorios pancreáticos en el 90% de los casos y a traumas pancreáticos en el 10%. Pueden ser únicos o múltiples y tener un tamaño variable, llegando a presentar grandes dimensiones, independientemente de su tiempo de evolución. Se localizan dentro o fuera del páncreas y su pared puede relacionarse con estructuras adyacentes, como el estómago, el colon transverso o la pared abdominal. El dolor persistente y la elevación de la amilasa sérica sugieren el diagnóstico. Éste y las pruebas de imagen (US, TC) serán la base del diagnóstico clínico inicial. El juicio clínico se confirmará con el estudio del contenido del pseudoquiste, que demostrará niveles de amilasa elevados, muy sugestivos de comunicación entre la colección y los conductos pancreáticos. Mediante el análisis de la viscosidad, determinación de CEA, CA 125 y la citología en el líquido, consiguió distinguir lesiones quísticas malignas y potencialmente malignas de los pseudoquistes y cistoadenomas serosos.

Radiológicamente, los abscesos se presentan como colecciones de tamaño variable, con paredes gruesas, que pueden contener gas y/o ecos internos, habitualmente acompañados de clínica infecciosa. También los quistes hidatídicos se muestran como quistes complejos. Desde el punto de vista clínico-radiológico, Howell. Recomienda la consideración de varios aspectos que nos harían dudar del diagnóstico de pseudoquiste, sin poder descartar etiología maligna de la colección pancreática. Los más relevantes son:   a) Ausencia de clínica compatible con pancreatitis, ya sea aguda, crónica o traumatismo pancreático.   b) Ausencia de cambios inflamatorios en el estudio tomográfico de la región pancreática.   c) Presencia de tabiques intracavitarios  ecográficamente podemos demostrar la morfología de la imagen quística anecogénica, de pared lisa y refuerzo acústico posterior. Durante su formación, el pseudoquiste puede tener ecos internos de aspecto complejo que desaparecen rápidamente al madurar. El detritus dentro de los pseudoquistes se evidencia por ecos dispersos de baja intensidad, secundarios a la degradación de células inflamatorias. Raramente se pueden observar calcificaciones en las paredes de pseudoquistes muy evolucionados. Habashi y Draganov  enfatizan que, durante las primeras fases del desarrollo de los pseudoquistes, estos pueden presentarse como lesiones complejas con diversos grados de ecos internos. Si bien desaparecen al tiempo en la mayoría de los casos, inicialmente pueden conducir a errores diagnósticos. Por lo general, esta apariencia es el resultado de la presencia de restos necróticos y es más común en pseudoquistes secundarios a pancreatitis aguda necrotizante que a pancreatitis crónica. Los pseudoquistes también pueden tener un aspecto complejo cuando se produce una hemorragia o infección en su interior, El estudio tomográfico se centra en la confirmación de la imagen redondeada de paredes finas en relación con el páncreas, de densidad cercana al agua y que puede acompañarse de signos inflamatorios pancreáticos con afectación de la grasa adyacente. Un 15% de los pseudoquistes se ubica en la cabeza del páncreas, mientras que el 85% restante se distribuye por el cuerpo y la cola. En el 70% de los casos, la CPRE puede identificar la comunicación entre el pseudoquiste y los conductos pancreáticos.

COMENTARIOS

Los pseudoquistes pancreáticos forman parte de una amplia gama de lesiones quísticas del páncreas. Estos pseudoquistes en ocasiones presentan grandes dimensiones que nos pueden inducir a cometer errores diagnósticos. Por ello, el conocimiento de sus características radiológicas y diagnóstico diferencial nos facilitará su reconocimiento, evaluación y seguimiento óptimo. A su vez, los antecedentes clínicos del paciente juegan un papel primordial, a tal punto que si un paciente no tiene antecedentes de pancreatitis, traumatismo pancreático o cirugía previa de páncreas y los resultados de los estudios de imagen no son concluyentes, el control evolutivo con imagen o su drenaje pueden ser recomendados.

Artículo escrito por la Dra. Cindy Verónica Castro Vizcarra

Inscripciones para curso

Inscripciones para Diplomado

diplomadomedico.com

Abrir chat
¡Conoce nuestros diplomados!
Diplomados en Ultrasonografía
Hola, conoce nuestros diplomados.