Skip links

Hígado graso no alcohólico y síndrome metabólico

El hígado graso no alcohólico (HGNA) es la principal causa de enfermedad hepática crónica y el síndrome metabólico (SM) es un predictor importante del HGNA. Ante el incremento en la incidencia de SM en México se realizó un estudio transversal los pacientes se les realizó ultrasonido abdominal y se observaron los  lóbulos  hepáticos  evaluando  su  tamaño,  ecogenicidad  y  bordes.  Los  HGNA  encontrados  se  clasificaron  como:  leves,  moderados   o   severos   según   su   grado   de   ecogenicidad   y   la  visualización  de  los  vasos  hepáticos  y  del  diafragma.  La  prevalencia del HGNA se estimó con intervalos de confianza de 95% .Se incluyeron 122 hombres la prevalencia fue màs en hombres que en mujeres sin diferencias de edad.siendo proporcional el porcentaje leve en mayor numero moderado y escasos casos de severo.La prevalencia obtenida es alarmante pues ocho de  cada  diez  individuos  con  SM  tienen  hígado  graso.

El hígado graso no alcohólico es en la actualidad la principal causa de enfermedad hepática crónica y su prevalencia oscila a escala mundial entre 2.8% y 46%. Puede presentarse desde una simple esteatosis o bien con inflamación y daño al hepatocito o esteatohepatitis. Sus manifestaciones más severas son la cirrosis hepática, el hepatocarcinoma o la insuficiencia hepática. El síndrome metabólico es un importante predictor del hígado graso no alcohólico. Se ha estimado que en hombres con síndrome metabólico el riesgo de hígado graso no alcohólico es cuatro veces mayor y en las mujeres once.

Debido a la escasa  documentacion de casos en mexico se realizo un estudio en el seguro social donde se tomaron como base pacientes con sindrome metabòlico.

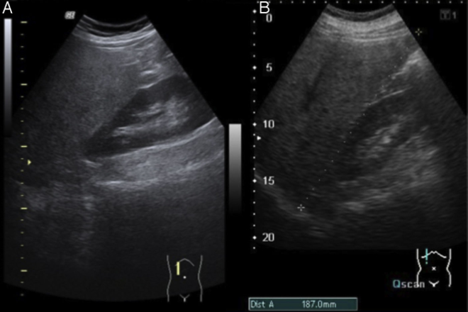
Para  detectar  hígado  graso  se  realizó  un  ultrasonido abdominal.Un solo operador certificado realizó todos los ultrasonidos. Los estudios se realizaron con un ultrasonido  marca  Siemens  modelo  Sono  line  versa  plus CC13E71CP700-UM  con  transductor  sectorial,  electrónico, multifrecuencia de 3 a 5MHz.tiempo real en escala de grises. Con el paciente en posición de decúbito dorsal se aplicó gel para mejorar la transmisión del sonido, se observaron el lóbulo hepático derecho,el izquierdo y el caudado evaluando tamaño, ecogenicidad y bordes de hígado. El grado de severidad del hígado graso se clasificó de acuerdo con los siguientes criterios:

Leve.

Mínimo aumento difuso de la ecogenicidad hepática, visualización normal del diafragma y de los bordes de los vasos intrahepáticos.

Moderada. Moderado aumento difuso de la ecogenici

dad hepática, ligera disminución de la visualización de los vasos intrahepáticos y del diafragma.

Severa.Marcado  aumento  de  la  ecogenicidad,  pobre

penetración del segmento posterior del lóbulo hepático

derecho y pobre o nula visualización de los vasos hepáticos y del diafragma

los resultados obtenidos fueron en proporcion a la gravedad muchos leves y pocos casos severos prevaleciendo mas en los hombres.

El hígado graso de curso aparentemente benigno cobra importancia

por su potencial evolución hacia un mayor daño hepatocelular, cirrosis y cáncer hepatocelular. Sin duda alguna las intervenciones en salud que puedan diseñarse y dirigirse para disminuir la obesidad y el síndrome metabólico tendrán también un efecto directo en la disminución de este problema.

Es importante considerar las diferentes patologìas como posibles desarrolladoras de complicaciones que pueden ser prevenidaso dx y tx oportunamente con tan solo realizar un studio de gabinete para descartar posibles alteraciones,siendo vitalicio el conocimiento de las estructuras anhatòmicas que se pudieran encintrar comprometidas.

Artículo escrito por la Dra. Claudia García Rodríguez

Inscripciones para curso

Inscripciones para Diplomado

diplomadomedico.com

Abrir chat
¡Conoce nuestros diplomados!
Diplomados en Ultrasonografía
Hola, conoce nuestros diplomados.