
Vesícula en porcelana y carcinoma de vesícula: correlación de diagnósticos por imagen y anatomopatologico.
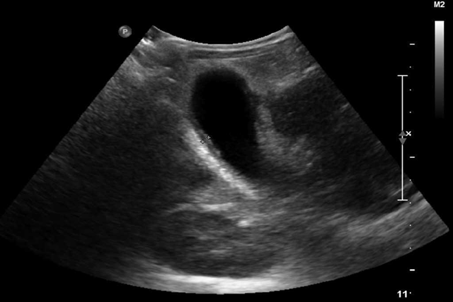
Vesícula en porcelana y carcinoma de vesícula: correlación de diagnósticos por imagen y anatomopatológico El término «vesícula en porcelana» se acuñó en 1929 para describir la decoloración azulosa y la consistencia quebradiza de la vesícula biliar con calcificación extensa de su pared. La calcificación intramural de la vesícula representa el








