
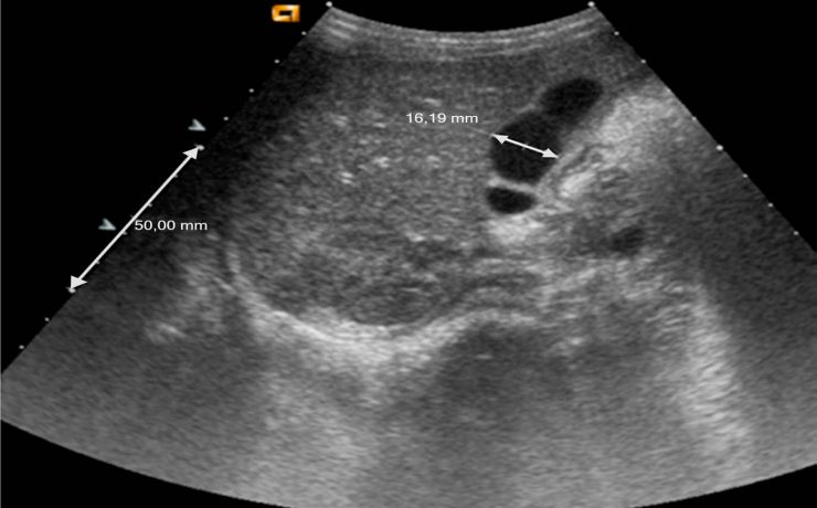
Enfermedad pélvica inflamatoria
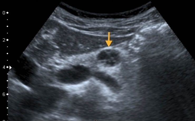
Las trompas de Falopio son dos órganos tubulares seromusculares cuya parte proximal se introduce en el cuerno uterino, la distal se relaciona con los ovarios, su cara superior con los intestinos y con el peritoneo pélvico, y en su parte inferior con estructuras del soporte del útero. Las trompas se








