
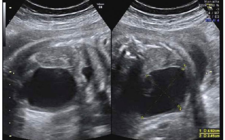
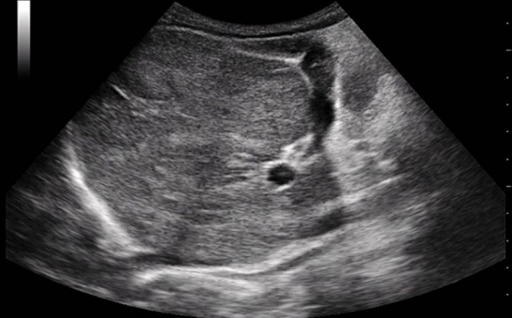
Vesícula biliar y vías biliares
La patología de la vía biliar habitualmente se presenta en la clínica como ictericia o alteración de las enzimas hepáticas, con o sin dolor abdominal o fiebre. La ecografía suele ser la primera prueba de imagen que se realiza, con la intención de discriminar si el paciente presenta una enfermedad








