
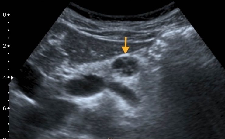
Las vías biliares
Las vías biliares intrahepática transcurren adyacentes a las raíces de la vena porta y las ramas de la arteria hepática. Los conductos hepáticos derecho e izquierdo se unen para formar el conducto hepático común a nivel del hilio hepático, el cual mide aproximadamente 30mm de longitud y se une al








