
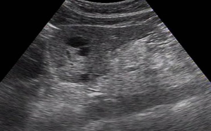
Fibroadenoma de tejido mamario ectópico axilar
Es el tumor benigno más común de la glándula mamaria de mujeres jóvenes. A pesar de que un 95% de las mujeres existe tejido mamario en la axila (cola de mama) y de que incluso en 6 de cada 100 es clínicamente evidente. Los reportes de este tumor en la








