Skip links

Valor pronóstico de engrosamiento de la pared de la vesícula biliar en pacientes con hepatitis aguda tipo A

El engrosamiento de la pared de la Vesícula biliar (VB) se observa con frecuencia en pacientes con hepatitis A aguda. En pacientes con hepatitis viral aguda, el engrosamiento de la pared vesicular  puede ser secundario al proceso inflamatorio en el hígado adyacente. Por otra parte  la severidad de la necrosis del hígado parece influir en el grado de engrosamiento de la pared.

En este estudio, investigamos el significado clínico de engrosamiento de la pared vesicular en Estados Unidos en pacientes serológicamente confirmados con hepatitis aguda A. Se diagnosticaron Hepatitis A a base de Ac IgM sanguíneos, ecografía y pruebas de funcionamiento hepático a 411 paciente durante marzo 2009 a diciembre 2012. De los cuales, se excluyeron dos pacientes que tenían un historial de colecistectomía, 76 pacientes en los que no había pruebas de función hepática de seguimiento, y cinco pacientes con cálculos biliares.

Por lo cual se trabajó con 328 pacientes consecutivos, cinco radiólogos con 5-20 años de experiencia con ultrasonido  y dos transductores a frecuencia de 1.4 y 4 Mhz, obteniendo un promedio de ambos. Las pruebas hepáticas  incluyeron la AST, ALT, BT, BI, BD, albúmina,  FA, transpeptidasa gamaglutamil,  tiempo de protrombina.

Los pacientes fueron divididos en los siguientes dos grupos: pacientes con engrosamiento de la pared VB (grupo A) y los que no tienen engrosamiento de la pared VB (grupo B). Los resultados se compararon grupo A vs Grupo B.

Además, el grupo A se subdivide en las siguientes dos subgrupos (grupo A-1 y el grupo A-2):

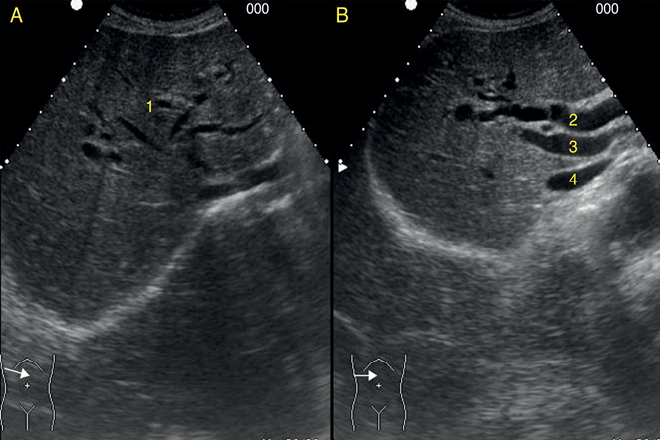
  • espesor de pared VB de 10 mm o más (grupo A-1)
  • espesor de pared VB de menos de 10 mm (≥3 mm a <10 mm, grupo A-2)

Además, el grupo B se subdivide en las siguientes dos subgrupos (grupo B-1 y el grupo B-2) :

  • Los pacientes con AST y ALT niveles de 500 UI / L o más (grupo B-1).
  • Pacientes con AST y ALT niveles de menos de 500 IU / L (grupo B-2).

Resultados

Entre los 328 pacientes, 230 pacientes (70,1%) mostraron engrosamiento de la pared VB en los Estados Unidos relacionados con la hepatitis aguda A.

  • La media de espesor de pared GB fue 8,04 ± 3,96 mm.
  • La AST media, ALT, bilirrubina total, bilirrubina directa y prolongada PT en el grupo A fueron significativamente más altos que los del grupo B (98 pacientes, 29,9%).
  • El nivel de albúmina media en el grupo A fue significativamente menor que en el grupo B.

En nuestro estudio, los niveles de AST y ALT en suero fueron significativamente elevados en el grupo A en comparación con en el grupo B. Además, los niveles de bilirrubina y el PT de grupo fueron significativamente (P <0,001) mayor que los del grupo B, lo que sugiere que la VB puede estar involucrado de alguna manera en el proceso inflamatorio y que esta participación está estrechamente relacionada con la evolución clínica de la hepatitis A. aguda

Discusión

En el caso de la hepatitis viral, la pared VB engrosamiento es el patrón más frecuentemente observado en los Estados Unidos. Además, la frecuencia de engrosamiento de la pared VB es mayor en pacientes con una infección viral que en pacientes con otras causas potenciales de engrosamiento de la pared VB. Tres hipótesis se han propuesto para explicar el mecanismo de engrosamiento de la pared GB en pacientes con hepatitis aguda:

  1. La lesión de los hepatocitos provoca disminuciones temporales en la producción de bilis y la excreción.
  2. Daño directo o inflamación de la mucosa y las capas musculares de la VB causadas por virus de la hepatitis contenidos en la bilis.
  3. La necrosis de los hepatocitos causa una reacción inflamatoria en los tejidos que rodean el hígado, incluyendo la pared VB.

COMENTARIO

Se puede concluir que el engrosamiento de la pared vesicular esta en íntima relación proporcional con la infección por Hepatitis A, dado que la congestión biliar, la inflamación periductual ocasiona estasis de bilis, originando el engrosamiento de la vesícula biliar.  Por tal motivo en un futuro el engrosamiento de la vesícula biliar podría ser un rango pronóstico de la enfermedad de Hepatitis Viral tipo A.

Artículo escrito por el Dr. Luis Ángel Palma

Inscripciones para curso

Inscripciones para Diplomado

diplomadomedico.com

Abrir chat
¡Conoce nuestros diplomados!
Diplomados en Ultrasonografía
Hola, conoce nuestros diplomados.