Skip links

Actualización acerca del diagnóstico y de las alternativas de tratamiento de la litiasis biliar

Los cálculos biliares afectan entre el 5 % y el 25 % de los adultos en el mundo occidental, pudiendo ser de colesterol (37-86 %), pigmento (2-27 %), calcio (1-17 %) o mixtos (4-16 %).

FACTORES DE RIESGO

  • Sexo femenino
  • Embarazo
  • Tratamiento con altas dosis de estrógenos
  • Edad
  • Origen étnico
  • Rasgos genéticos
  • Obesidad
  • Niveles elevados de triglicéridos séricos
  • Bajos niveles de colesterol de alta densidad
  • Pérdida rápida de peso
  • Dieta alta en calorías
  • Dieta rica en hidratos de carbono refinados
  • Falta de actividad física
  • Cirrosis
  • Enfermedad de Crohn
  • Estasis de la vesícula biliar
  • Hemólisis e infecciones crónicas bacterianas o parasitarias

No hay evidencia que respalde la reducción de la incidencia de cálculos biliares mediante modificaciones en el estilo de vida. La detección temprana de enfermedades como células falciformes y la extirpación de la vesícula biliar en personas sometidas a cirugías contra la obesidad pueden prevenir la hemólisis y las infecciones.

SÍNTOMAS

El cólico biliar es el síntoma más común, mientras que la fiebre suele indicar colecistitis aguda o colangitis. Otros síntomas habituales incluyen dolor en la parte superior del abdomen, intolerancia a alimentos grasos o fritos (náuseas, distensión abdominal, flatulencia, cambios en las heces).

COMPLICACIONES

  • Colecistitis aguda
  • Colédocolitiasis
  • Colangitis aguda
  • Pancreatitis aguda
  • Mucocele de la vesícula biliar
  • Empiema de la vesícula biliar
  • Gangrena de la vesícula biliar
  • Peritonitis biliar
  • Vesícula en porcelana
  • Cáncer de vesícula

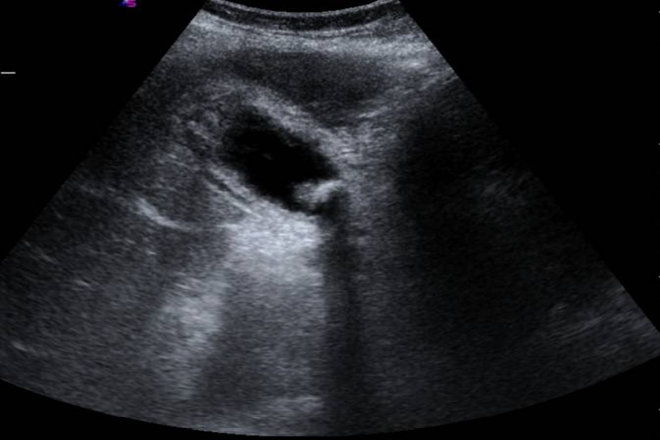
La ecografía es el método de elección actual para diagnosticar cálculos biliares, demostrando alta precisión diagnóstica (90 % de sensibilidad y 88 % de especificidad).

Los signos radiológicos de la colecistitis aguda incluyen engrosamiento de la pared vesicular (más de 4 mm), vesícula agrandada (diámetro eje largo mayor a 8 cm, eje corto mayor a 4 cm) o presencia de líquido alrededor de la vesícula.

La colecistectomía (extirpación de la vesícula biliar) es el tratamiento preferido para los cálculos biliares, independientemente de su composición (colesterol, biliares o mixtos).

La litotricia extracorpórea por ondas de choque y la terapia de disolución con ácido ursodesoxicólico tienen tasas de curación bajas. Solo el 27 % de los pacientes logran disolver los cálculos con ácido ursodesoxicólico y solo el 55 % quedan libres de litiasis tras la litotricia. La recurrencia de cálculos es alta, afectando a más del 40 % de los pacientes en cuatro años.

En pacientes no aptos para colecistectomía, la colecistectomía percutánea puede considerarse en casos de emergencia, evaluando la cirugía una vez mejore el estado general del paciente.

Artículo escrito por la Dra. Marjorie M. Sanchez Mora.

Inscripciones para curso

Inscripciones para Diplomado

medicacapacitacion.com

#litiasis #colecistitis #colangitis #colecistectomía

Abrir chat
¡Conoce nuestros diplomados!
Diplomados en Ultrasonografía
Hola, conoce nuestros diplomados.