Skip links

Carcinoma hepatocelular

El carcinoma hepatocelular  es la neoplasia maligna  primaria del hígado más frecuente  y la quinta a nivel mundial  convirtiéndose en un problema de salud pública  se reconoce como una de las principales causas de muerte en los pacientes  con cirrosis.

Este aumento se ha atribuido  a la  epidemia  de cirrosis secundaria  a virus de hepatitis c.

EPIDEMIOLOGIA:

Tiene una incidencia a nivel mundial   de 500.000 a 1000000 de casos. Este fenómeno se atribuye  a una mayor prevalencia  de infección por VHC se espera que la incidencia  aumente  aún más  en México. El carcinoma hepatocelular   es la causa de muerte  relacionada  con cáncer  que mayor incremento  ha tenido  en varones  ocupando el tercer lugar  como causa de muerte  relacionada  a cáncer .

Mas  del 90% de los casos  se presenta en pacientes con cirrosis  siendo más frecuentes  en hombres q en mujeres  con una relación  2-3:1  la explicación es que el sexo masculino  se encuentra más expuesto  a mayor numero de factores

De riesgo  incluyendo  infección del virus de hepatitis B Y VHC , consumo de alcohol,  tabaquismo , reservas de hierro aumentado , mayor índice de masa corporal  y niveles elevados de de hormonas androgenicas la incidencia de CHC  aumenta con la edad  y la prevalencia es máxima  a los 65 años  , sin embargo se advierte una tendencia  a su presentación  en pacientes más jóvenes.

FACTORES DE RIESGO

Independientemente a su etiología. la cirrosis  es el principal factor de riesgo  asociado al  desarrollo de CHC  encontrándose en 60% a 90%  de los casos  secundaria a alcohol  o infección por VHB Y VHC .las medidas preventivas  como la vacunación de  contra VHB han tenido impacto  favorable  en la disminución  de la incidencia de CHC .en aéreas de alto riesgo  de alto riesgo  corresponde  a la infección crónica  por VHB y alto consumo de de aflotoxinas

La obesidad y el síndrome metabólico  son factores de riesgo  para el desarrollo  de  esteatohepatitis no alcohólica  y la cirrosis relacionada   en la prevalencia de diabetes  y obesidad  se espera un aumento  en la incidencia de CHC. La ingesta de de alcohol  de 50 a 70 gr /día durante periodos prolongados es un factor de riesgo.

La aflotoxina B1 es una micotoxina  producida por el hongo aspergillus la cual a ser ingerida se metaboliza  aun intermediario activo  AFB1.exo.8,9 .epóxido  que se une al DNA generando daño que incluye mutaciones  al gen supresor P53 otros factores de riesgo son: tabaquismo , hemocromatosis hereditaria, deficiencia de alfa1-antitripsina, hepatitis autoinmune y algunas porfirias.

PATOGENIA

A  diferencia de la  mayoría de otros tumores, el CHC se desarrolla  en un contexto  de inflamación  y daño orgánico ; coexiste  con cirrosis  en más del 80%  de los casos. existen múltiples etiologías  entre las que destacan   las causas infecciosas  y toxicas desafortunadamente  menos del 40% de los pacientes  son elegibles  para tratamiento curativo  al momento del diagnostico .

La acumulación de alteraciones genéticas  que conducen al desarrollo de CHC en un hígado cirrótico  parecer ser un proceso  que requiere  múltiples  pasos  la transformación  incluye  lesiones histológicas  que van desde el hígado con cirrosis  hasta nódulos displásicos  durante el periodo preneoplasico existe una regulación  al alta de vías mitogenicas  que conduce  a la selección  de clonas celulares  displacicas  las cuales adquieren  un fenotipo maligno  cuando se exponen a diferentes alteraciones genéticas .

El paso final para la transformación  maligna  en la hepatocarcinogenesis  incluye vías relacionadas  con angiogenesis  y la capacidad de migración  e invacion.

Las alteraciones genéticas  varían desde mutaciones puntuales, hasta perdida o ganancia  de brazos cromosómicos, el gen supresor  de P53 involucrado  en el control de ciclo celular.

Otras alteraciones demostradas en CHC son la inestabilidad  cromosómica dada por la actividad  cromosómica dada por la alta actividad de telomerasas .papel de los micro ARN  y cáncer primario de hígado.las moléculas pequeñas de ARN como los micro ARN, consideradas  una superficie  de material genómico superfluo. a sí mismo se ha demostrado  que los ARN juegan un papel  regulatorio importante  en funciones complejas  como la apoptosis , la proliferación celular , la diferenciación celular los complejos de angiogenesis y por lo tanto en la carcinogénesis

MANIFESTACIONES CLÍNICAS

Los pacientes con CHC presentan una o varias  manifestaciones clínicas .  que incluyen dolor en el cuadrante superior derecho del abdomen, pérdida de peso y descompensación de la función hepática  evidenciada por alteración en enzimas  hepáticas  con cirrosis . Son manifestaciones poco comunes el abdomen  agudo secundario a ruptura del tumor con hemorragia intraabdominal y manifestaciones extra hepáticas (hipercalcemia, hipoglucemia, y tirotoxicosis).más de la mitad de los pacientes con CHC presenta anemia aunque en algunos  casos se ha reportado eritrocitosis

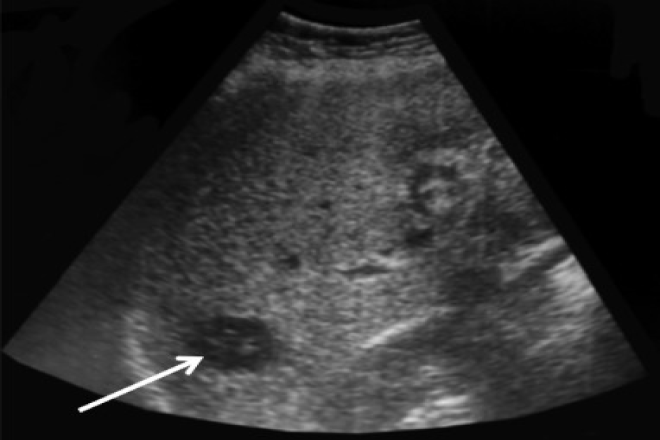
El ultrasonido abdominal es operador dependiente, reportándose en estudios recientes una sensibilidad mayor al 60% y una especificidad mayor al 90% su sensibilidad  para la detección de nódulos en hígado  cirrótico es particularmente baja.las guías actuales recomiendan el uso de ultrasonido abdominal cada 6-12 meses  como método de escrutinio  y vigilancia en pacientes  con alto riesgo el uso adicional de AFP es controversial. los métodos de imagen más confiables para los propósitos  de diagnostico y estadiaje  del tumor  son la TC en tres faces  y la resonancia magnética dinámica  contrastada  en tres fases el CHC debe su irrigación  sanguínea  predominantemente a la arteria hepática  mientras que el resto se encuentra irrigado  por el sistema  arterial y venoso  portal.

ABORDAJE DIAGNOSTICO:

Se  puede realizar de manera  confiable si presenta alguna de las  siguientes características. Tumoración hepática  focal mayor de 2 cm  identificada  mediante una imagen  que muestra el realce característico  con el contraste  en la fase arterial  y lavado rápida  en la fase venosa ,tumoración hepática focal con comportamiento atípico por imagen o tumoración hepática  documentada en el hígado  no cirrótico con biopsia  compatible.

ESTADIAJE

La importante y compleja asociación que existe entre cirrosis y CHC impacta tanto el pronóstico como las decisiones  de tratamiento quirúrgico o medico

TRATAMIENTO

El tratamiento de CHC tradicionalmente se divide  en curativo y paliativo  los tratamientos curativos  como la resección quirúrgica  el trasplante hepático  y la ablación percutánea  conllevan a una respuesta completa  en gran proporción  de pacientes    y mejoran de manera  significativa  la supervivencia

Los tratamientos paliativos no tienen  como objetivo  la curación  aunque  en algunos  casos  pueden observarse  buenas respuestas  e incluso mejoría de la supervivencia.

El cuerpo está compuesto por billones de células vivas. Las células normales del cuerpo crecen, se dividen y mueren de manera ordenada. Durante los primeros años de vida de una persona, las células normales se dividen más rápidamente para facilitar el crecimiento de la persona. Cuando la persona alcanza la edad adulta, la mayoría de las células se dividen sólo para reponer aquellas que se han desgastado, dañado o muerto.

COMENTARIO

El cáncer se origina cuando las células en alguna parte del cuerpo comienzan a crecer de manera descontrolada. Hay muchos tipos de cáncer, pero todos ellos comienzan debido a este crecimiento sin control de células que no es normal.

El crecimiento de las células cancerosas es diferente al crecimiento de las células normales. En lugar de morir, las células cancerosas continúan creciendo y formando más células cancerosas, las cuales pueden crecer hacia otros tejidos (invadir), algo que las células normales no hacen. La posibilidad de una célula de crecer sin control e invadir otro tejido es lo que la hace cancerosa.

El carcinoma hepatocelular es la forma más común de cáncer de hígado en adultos. Comienza en los hepatocitos, el principal tipo de células del hígado. Alrededor de cuatro de cada cinco cánceres originados en el hígado son de esta clase. El cáncer hepatocelular tiene distintos patrones de crecimiento.

  • Algunos comienzan como un tumor sencillo que va creciendo. Sólo cuando la enfermedad es avanzada se propaga a otras partes del hígado.
  • Otros parecen comenzar en muchos lugares a través de todo el hígado, y no como un tumor solo. Éste se ve con mayor frecuencia en las personas que padecen daño hepático persistente (cirrosis) y es el patrón más común visto en los Estados Unidos.

Los doctores pueden determinar los subtipos de cánceres hepatocelulares al analizar el cáncer con el microscopio. La mayoría de estos subtipos no afectan el tratamiento ni la perspectiva de supervivencia del paciente (prognosis). Pero un tipo poco común, conocido como fibrolamelar , puede ofrecer un pronóstico mejor que los otros tipos del cáncer de hígado.

Artículo escrito por el Dr. Alejandro Flores Ocampo

Inscripciones para curso

Inscripciones para Diplomado

diplomadomedico.com

Abrir chat
¡Conoce nuestros diplomados!
Diplomados en Ultrasonografía
Hola, conoce nuestros diplomados.