Skip links

Hígado graso no alcohólico

Hígado graso no alcohólico

El hígado graso no alcohólico (HGNA) es una enfermedad frecuente en nuestra práctica diaria y cada día es más tenida en cuenta, sobre todo por ser considerada la primera causa de hepatopatía crónica en el mundo occidental y por ser la elevación de las aminotransferasas el principal motivo de consulta en hepatología.

Asociación con el síndrome metabólico

Es el componente hepático del síndrome de insulinorresistencia o síndrome metabólico, condición que incluye un grupo de anormalidades clínicas relacionadas y ocurre más comúnmente en sujetos con insulinorresistencia e hiperinsulinemia compensatoria, asociadas a un estado inflamatorio crónico y de disfunción endotelial, con evolución continua y progresiva, que confiere al paciente una alta predisposición a desarrollar prediabetes y diabetes mellitus tipo 2 (DM2).

Causas de la esteatosis hepática

Existen numerosas entidades que pueden conducir a una esteatosis, entre las que encontramos alteraciones metabólicas como la lipodistrofia y la abetaliproteinemia; causas nutricionales como la pérdida rápida de peso, el bypass yeyunoileal y la nutrición parenteral; y causas inducidas por fármacos entre los que encontramos como más frecuentes a los glucocorticoides, el metotrexato, la amiodarona, los estrógenos sintéticos, el tamoxifeno, el diltiazem y los antirretrovirales ampliamente activos.

Fisiopatología del HGNA

Entre los postulados iniciales se contaba con la teoría de los “dos golpes o impactos”. El primer golpe es provocado por la acumulación de los triglicéridos hepáticos. Esto puede producirse por un aumento en la síntesis hepática de los mismos, un aumento en el transporte, una disminución en la salida (disminución de síntesis de VLDL) y/o una disminución de la oxidación lipídica.

Por otra parte, tenemos el llamado “segundo golpe”, es decir, el daño inducido por las citoquinas inflamatorias o adipoquinas, la disfunción mitocondrial y el estrés oxidativo, lo que lleva a la esteatohepatitis y/o fibrosis. Dentro de este grupo grande de citoquinas tenemos la vía de señales Iκκ-β/NF-κB.

Adicionalmente se ha propuesto un nuevo componente en la génesis de este fenómeno: el llamado “tercer golpe”, que es la inadecuada proliferación hepatocitaria. En el hígado sano la muerte celular estimula la replicación de los hepatocitos maduros que reemplazan las células muertas y reconstituyen la función del tejido normal. Sin embargo, el estrés oxidativo, característica central en la patogenia del HGNA, inhibe la replicación de los hepatocitos maduros llevando a una expansión de la población de células progenitoras hepáticas.

Diagnóstico del HGNA

Generalmente el HGNA suele ser asintomático, pero los pacientes consultan en algunas ocasiones por dolor o molestia en el hipocondrio derecho. La hepatomegalia es un signo frecuente al examen físico y los signos de hepatopatía crónica son poco frecuentes a menos que se haya instaurado una cirrosis.

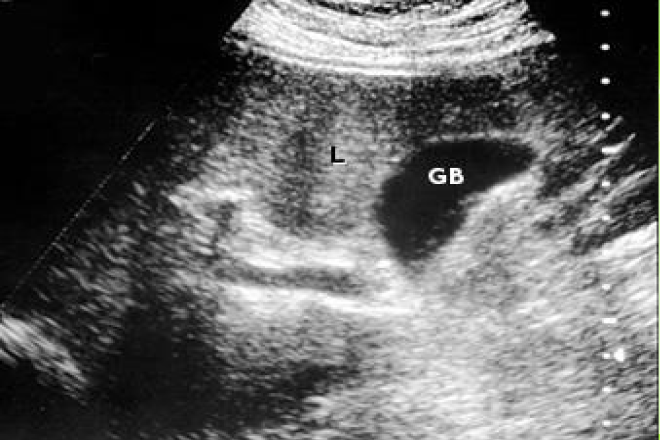
Otra forma de encontrar la enfermedad es el aumento de la ecogenicidad hepática en una ecografía abdominal muchas veces indicada por otras causas. Dependiendo del grado de afectación, podría acompañarse de signos ecográficos de hepatopatía crónica.

Existen varios exámenes no invasivos que se han utilizado tanto para el diagnóstico como para la estadificación de la fibrosis en el HGNA. Entre los primeros se cuentan el ultrasonido con ecorresaltadores, el NASH test y la citoqueratina 18.

Tratamiento del HGNA

En la actualidad, el tratamiento de primera línea para el HGNA se apoya en dos pilares fundamentales: la dieta y el ejercicio. La mayoría de los estudios plantean que la disminución gradual del peso (5% a 10%), la dieta baja en calorías y el ejercicio físico practicado regularmente mejoran las enzimas hepáticas y hacen desaparecer la esteatosis.

El tratamiento farmacológico no está aceptado de manera universal y dentro de los fármacos más utilizados están los sensibilizadores de la insulina: las biguanidas (metformina) y las tiazolidinedionas (TZDs) como la pioglitazona y la rosiglitazona.

Comentario

El artículo trata de hígado graso no alcohólico, en el que describe alteraciones en la función hepática, secundarias a un estilo de vida actual, el sobrepeso y obesidad, acompañado de una vida sedentaria.

Es alarmante saber la respuesta hacia esta y otras patologías, y no realizar un mayor esfuerzo en campañas de salud dirigidas a una alimentación adecuada y realizar ejercicio.

Además del estrés diario, que hace que generemos sustancias en nuestro organismo, que nos conllevan a desarrollar este tipo de padecimientos.

Finalmente, para el campo médico adquirimos una responsabilidad en la consulta de nuestros pacientes, al orientarlos, y educarlos a una mejor calidad de vida. Así como un tratamiento oportuno para evitar complicaciones.

Artículo escrito por el Dr. Alfredo Quiroz

Inscripciones para curso

Inscripciones para Diplomado

medicacapacitacion.com

 

 

 

#Hígado #Esteatosis #Insulinorresistencia #Fibrosis #DiabetesMellitus

Abrir chat
¡Conoce nuestros diplomados!
Diplomados en Ultrasonografía
Hola, conoce nuestros diplomados.