Skip links

La búsqueda de defectos cardíacos en el período intrauterino

La búsqueda de defectos cardíacos en el período intrauterino ha incrementado la detección de enfermedad congénita cardíaca. El segundo período es considerado el mejor momento para realizar la ecocardiografía, esto debido al mayor tamaño del feto y la presencia de pocas estructuras calcificadas. De acuerdo a las guías de la sociedad de ultrasonido en obstetricia y ginecología, se debe realizar una exploración detallada en personas de alto riesgo y este riesgo se eleva por indicaciones maternas: historia familiar, enfermedad metabólica como diabetes o fenilcetonuria, infecciones maternas( parvovirus, rubeola, coxsackie), exposición a teratógenos, anticuerpos maternos como anti Ro, e indicaciones fetales como sospecha de enfermedad cardíaca, anormalidad en el cariotipo fetal, anormalidad extracardíaca mayor, traslucencia nucal anormal ( >3.5mm), trastornos del ritmo.

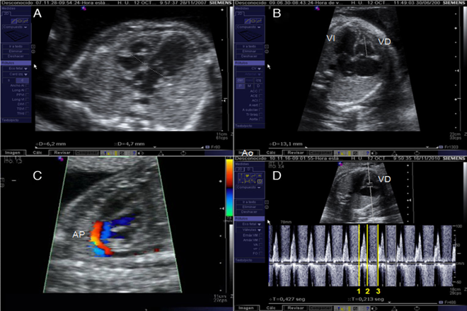
Para la evaluación cardíaca se necesita la proyección cardíaca de 4 cámaras, y se analiza el situs cardíaco. El situs es la posición que ocupa el órgano en relación a la simetría corporal del cuerpo, el primer paso es determinar la posición fetal, estableciendo el lado derecho, izquierdo, anterior, posterior, superior e inferior, luego determinar que el estómago esté del lado izquierdo, podemos determinar el situs cardíaco y visceral, el situs visceral es una condición en la cual el lóbulo mayor del hígado está sobre el lado derecho y el bazo, la aorta descendente y el estómago del lado izquierdo. Usando la posición de la vena cava inferior (derecha) y la aorta (izquierda) con respecto a la columna ayuda a establecer también el solitus.  La posición usual del corazón es anterior  y a la izquierda de la caja torácica, la punta del ápex normalmente entre 45+/- 20 grados, el tamaño del corazón ocupa normalmente un tercio de la caja torácica, el retorno de las venas pulmonares ocurre en el atrio izquierdo visualizado con el doppler color, la observación de la aurícula implica valorar el septum interatrial, en el lado izquierdo puede ser visible el drenaje venoso pulmonar y la lámina del foramen oval, en la aurícula derecha se observa el drenaje de la vena cava, la lamina del foramen oval debe verse con buena movilidad en la aurícula izquierda. Las valvas atrioventriculares. La tricúspide se localiza ligeramente más apical que la válvula mitral. El ventrículo derecho se identifica por la banda moderadora, debe valorarse el tamaño proporcional de los ventrículos y el septum interventricular.

En el mismo plano, el Ultrasonografista, debe mover ligeramente el transductor de la porción caudal a la porción craneal del feto, con este ligero movimiento podemos observar el tracto de salida del corazón y la posición de los tres vasos con respecto a la traquea. Se observa la aorta más posterior a la pulmonar y el cruzamiento de ambos vasos.

Artículo escrito por el  Dr Ernesto Román López.

Inscripciones para curso

Inscripciones para Diplomado

diplomadomedico.com

 

Abrir chat
¡Conoce nuestros diplomados!
Diplomados en Ultrasonografía
Hola, conoce nuestros diplomados.