Skip links

Laparoscópica en litiasis vesicular

La litiasis vesicular es la enfermedad más prevalente de la vesícula biliar y es responsable de la indicación más frecuente de cirugía abdominal.

La ecografía abdominal constituye el examen inicial en la patología vesicular, por sencillez, reproductibilidad y bajo costo.

Las complicaciones preoperatorias dependen del estado evolutivo de la enfermedad y mayores según el grado de inflamación del órgano. Para esto la ecografía tiene relevancia al permitir una caracterización anatómica del cuadro y permitir prever ciertas dificultades y complicaciones.

El objetivo del estudio  fue validar la clasificación  ecográfica y laparoscópica para pronóstico de la colecistectomía laparoscópica en cuanto a dificultades operatorias.

Se realizó  un estudio evaluando 336 pacientes operados  de colecistitis crónica o aguda por vía laparoscópica entre junio y diciembre de 2008.

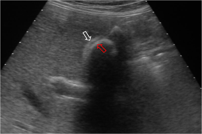
Todos los pacientes fueron estudiados con ecografía abdominal, al menos siete días antes de la cirugía, por un radiólogo experto, evaluándose parámetros como presencia o ausencia de  lumen, número y tamaño de los cálculos y grosor de la pared vesicular.

Con base en esos parámetros se dividieron en tres grupos:

Tipo I: lumen visible, pared delgada, cálculos visibles.

Tipo II: vesícula distendida, lumen visible, cálculos visibles y pared engrosada > de 3 mm.

Tipo III: lumen no visible, pared de grosor indeterminado, uno o más cálculos con sombra acústica.

Hallazgos  laparoscópicos

Tipo I: colecistitis crónica simple.

Tipo IIA: colecistitis aguda con pared < a 5 mm, edema leve.

Tipo IIB: colecistitis aguda con pared > 5 mm, edema, fibrosis, necrosis y/o áreas de hemorragia.

Tipo III: colecistitis crónica esclerotrófica.

Todas las vesículas fueron enviadas al servicio de Anatomía Patológica para análisis histopatológico.

El 59 % de las ecografías fueron tipo I.

En los pacientes con ecografías tipo I, la correlación fue de 87 %, es decir, cuando la ecografía sugería una colelitiasis o colecistitis crónica litiásica, el hallazgo laparoscópico era concordante en ese porcentaje.

En los pacientes con colecistitis aguda tipo I la correlación fue de 89 % para la tipo II de 69 %. En las ecografías tipo III la correlación fue de 76 %.

La correlación entre los hallazgos laparoscópicos y problemas quirúrgicos se evidenció una buena correlación. Los pacientes tipo I tuvieron un bajo número de dificultades intraoperatorias. La mortalidad observada fue de 0 %.

Las dificultades intraoperatorias  fueron el empotramiento  vesicular, el sangrado vesicular, la ruptura vesicular, el sangrado de la arteria cística, la lesión de la vía biliar y el síndrome de Mirizzi. La principal dificultad encontrada fue el empotramiento vesicular, más frecuente en los pacientes tipo II B y III. La ruptura vesicular y derrame de bilis, pus o incluso cálculos  se observaron con más frecuencia en pacientes con colecistitis tipo II B. existieron dos lesiones de la vía biliar, que se repararon inmediatamente luego de convertir  a vía  abierta.

Complicaciones post operatorias: hubo dos pacientes con biliperitoneo por filtración de conducto cístico. Un caso de hemoperitoneo y un caso  de fistula biliar. Todos fueron intervenidos por vía abierta sin incidentes.

Las principales causas de de conversión  a cirugía abierta fueron la anatomía difícil y la lesión de la vía biliar.

La incidencia global de cáncer fue de 1.48%, fue encontrado en  tres colecistitis crónicas simples y una colecistitis aguda necro hemorrágica.

La correlación entre los hallazgos ecográficos y los hallazgos laparoscópicos es buena, siendo mejor en los pacientes con ecografías tipo I y IIB. En las ecografías tipo III la correlación fue de 76 %. Sin embargo, las diferencias en la clasificación pueden variar según la calidad de las imágenes y la dependencia del operador.

Al evaluar la correlación entre los hallazgos laparoscópicos y las dificultades quirúrgicas, las complicaciones post operatorias y el porcentaje de conversión, observamos que los resultados siguen los mismos patrones y apoyan los obtenidos anteriormente.

Los pacientes en los grupos I con colelitiasis o colecistitis crónicas tienen un bajo porcentaje de dificultades intraoperatorias y de conversión, que aumentan al enfrentar un cuadro agudo, siendo  mayor en las vesículas más inflamadas. Las vesículas esclerotróficas, grupo III, presentaron el mayor porcentaje de conversión.

En esta serie las complicaciones post operatorias ocurrieron en  cinco pacientes, con una distribución uniforme en todos los grupos. No se registró mortalidad.

En la literatura no se encuentran otros trabajos que subdividan la patología litiásica vesicular de esta forma.

Podemos decir que esta clasificación constituye una herramienta útil en la correlación de los hallazgos ecográficos y laparoscópicos en colecistitis crónica y aguda. Esto  sirve de ayuda al cirujano en la predicción de problemas quirúrgicos, complicaciones y riesgo de conversión a cirugía abierta.

 

Artículo escrito por la Dra. Rocío Martínez Vera

Inscripciones para curso

Inscripciones para Diplomado

diplomadomedico.com

 

 

 

 

Abrir chat
¡Conoce nuestros diplomados!
Diplomados en Ultrasonografía
Hola, conoce nuestros diplomados.