
Hematocervix y sinequia cervical
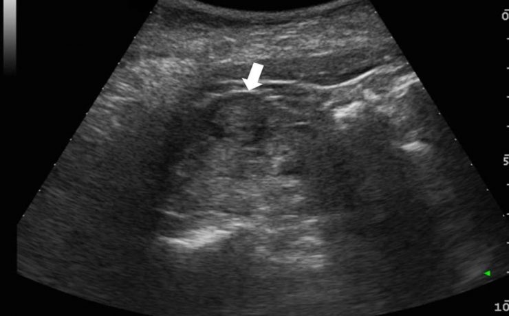
Caso clínico Se presenta un caso clínico de hematocervix diagnosticado por ultrasonografía en una paciente peri menopáusica sin antecedentes de patología cervical. Se discuten las causas de esta alteración, la utilidad del diagnóstico por ultrasonido, su tratamiento quirúrgico y su relación con patologías en otros órganos y sistemas. Introducción La








