
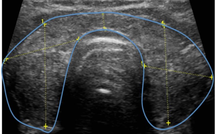
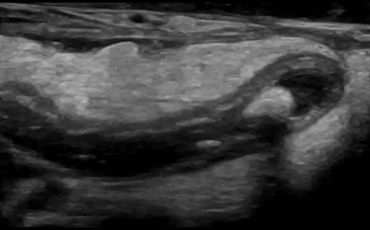
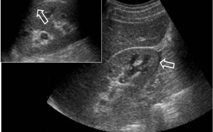
Síndrome de rokitansky y fibroma pélvico
El síndrome de Rokitansky, es la anomalía más grave del tracto reproductivo femenino. Consiste en la ausencia congénita de vagina y útero ausente o rudimentario, como consecuencia de la falla en el desarrollo Mûlleriano de la vagina y el útero. Este síndrome fue descrito por Rokitansky en 1838. Es la








